تفاوت سونوگرافی و رادیولوژی در چیست؟ چه زمانی به هرکدام نیاز داریم؟

بهترین مرکز سونوگرافی | تفاوت سونوگرافی و رادیولوژی
بسیاری از بیماران هنگام مراجعه برای تصویربرداری پزشکی نمیدانند تفاوت سونوگرافی و رادیولوژی چیست؟ و در چه شرایطی باید به بهترین مرکز سونوگرافی شیراز مراجعه کنند. این دو روش هرچند هر دو در دسته تصویربرداری پزشکی قرار میگیرند، اما از نظر فناوری، کاربرد و شرایط انجام تفاوتهای مهمی دارند. شناخت این تفاوتها به بیماران کمک میکند مسیر تشخیص را دقیقتر طی کنند.
سونوگرافی بر پایه امواج صوتی با فرکانس بالا انجام میشود و در آن از اشعه استفاده نمیشود. به همین دلیل، مراجعه به بهترین مرکز سونوگرافی شیراز برای بسیاری از بیماران، بهویژه زنان باردار، گزینهای ایمن و مطمئن محسوب میشود. در مقابل، رادیولوژی با اشعه ایکس کار میکند و بیشتر برای بررسی استخوانها کاربرد دارد.
سونوگرافی چه کاربردهایی دارد؟
سونوگرافی برای بررسی بافتهای نرم بدن بسیار مناسب است. اندامهایی مانند کبد، کلیه، تیروئید، رحم و تخمدانها با این روش بهخوبی ارزیابی میشوند. به همین دلیل بسیاری از پزشکان در اولین قدم بیمار را به بهترین مرکز سونوگرافی شیراز ارجاع میدهند.
یکی از مزیتهای مهم سونوگرافی، مشاهده زنده حرکات داخل بدن است. در بهترین مرکز سونوگرافی شیراز میتوان ضربان قلب جنین، وضعیت جفت و حتی جریان خون را بهصورت لحظهای بررسی کرد. این ویژگی در تصمیمگیریهای پزشکی اهمیت زیادی دارد.
مواردی که سونوگرافی انتخاب اول است
در بررسی بارداری، دردهای شکمی، کیستها و تودههای بافت نرم، مراجعه به بهترین مرکز سونوگرافی شیراز معمولاً اولین اقدام تشخیصی است.
همچنین برای ارزیابی اندامهای سطحی مانند تیروئید یا پستان، سونوگرافی دقت بالایی دارد.
مزایای سونوگرافی نسبت به رادیولوژی
عدم استفاده از اشعه مهمترین مزیت سونوگرافی است؛ به همین دلیل بسیاری از بیماران بهترین مرکز سونوگرافی شیراز را برای بررسیهای مکرر انتخاب میکنند.
امکان تکرار بدون محدودیت و مشاهده همزمان بافتها از دیگر برتریهای این روش است.
رادیولوژی در چه مواردی کاربرد دارد؟
رادیولوژی یا عکس ساده با اشعه ایکس بیشتر برای بررسی استخوانها و ساختارهای متراکم بدن استفاده میشود. در مواردی مانند شکستگی یا آسیبهای شدید، پزشک ممکن است بهجای ارجاع به بهترین مرکز سونوگرافی شیراز ، انجام رادیولوژی را توصیه کند.
این روش سرعت بالایی دارد و در شرایط اورژانسی بسیار کاربردی است. با این حال، به دلیل استفاده از اشعه، انجام آن باید با تجویز پزشک باشد و معمولاً جایگزین سونوگرافی برای بافت نرم نیست.
اگر پزشک به شکستگی استخوان یا مشکلات ریوی مشکوک باشد، رادیولوژی انتخاب مناسبتری نسبت به مراجعه به بهترین مرکز سونوگرافی شیراز است. این روش برای بررسی دقیق ساختار استخوانها عملکرد بهتری دارد.
محدودیتهای رادیولوژی
رادیولوژی در بررسی بافتهای نرم دقت کمتری دارد؛ همچنین به دلیل اشعه، انجام مکرر آن محدودیت دارد.
چه زمانی به بهترین مرکز سونوگرافی شیراز مراجعه کنیم؟

بهترین مرکز سونوگرافی شیراز | زمان مراجعه به بهترین مرکز
زمان مراجعه به بهترین مرکز سونوگرافی شیراز معمولاً زمانی است که پزشک نیاز به بررسی بافت نرم، بارداری یا عروق داشته باشد. انتخاب مرکز مجهز نقش مهمی در دقت تشخیص دارد.
مرکز تصویربرداری پزشکی تابا در شیراز با بهرهگیری از تجهیزات پیشرفته، امکان انجام انواع سونوگرافی را با کیفیت بالا فراهم کرده است. بسیاری از مراجعان به دنبال بهترین مرکز سونوگرافی شیراز هستند تا از دقت گزارش و وضوح تصاویر اطمینان داشته باشند.
نقش کیفیت دستگاه در دقت تشخیص
در بهترین مرکز سونوگرافی شیراز ، استفاده از دستگاههای بهروز باعث میشود جزئیات کوچک نیز قابل مشاهده باشند. این موضوع به تشخیص زودهنگام بیماریها کمک میکند.
اهمیت تفسیر تخصصی تصاویر
صرفا انجام سونوگرافی کافی نیست و تفسیر علمی اهمیت زیادی دارد. به همین دلیل مراجعه به بهترین مرکز سونوگرافی شیراز که گزارش دقیق ارائه دهد، بسیار مهم است.
در مرکز تابا نتایج با دقت بالا تهیه میشود تا پزشک معالج تصمیمگیری مطمئنتری داشته باشد.
در مجموع، سونوگرافی و رادیولوژی هر کدام کاربرد خاص خود را دارند و انتخاب بین آنها به نظر پزشک و نوع مشکل بستگی دارد. با این حال، در بسیاری از بررسیهای بافت نرم و بارداری، مراجعه به بهترین مرکز سونوگرافی شیراز میتواند اولین و ایمنترین قدم تشخیصی باشد.
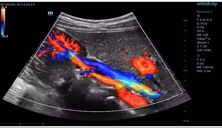
سونوگرافی داپلر رنگی در شیراز چیست و کجا انجام میشود؟

بهترین مرکز سونوگرافی شیراز | سونوگرافی داپلر رنگی
سونوگرافی داپلر رنگی یکی از پیشرفتهترین روشهای تصویربرداری است که علاوه بر نمایش ساختار اندامها، جریان خون در عروق را نیز بررسی میکند. بسیاری از بیماران هنگام جستجو برای بهترین مرکز سونوگرافی شیراز با نام داپلر رنگی مواجه میشوند؛ اما دقیقاً نمیدانند این روش چه تفاوتی با سونوگرافی معمولی دارد.
در این تکنیک، امواج صوتی پس از برخورد با گلبولهای قرمز در حال حرکت؛ بازتاب پیدا میکنند؛ سپس دستگاه این تغییرات را به تصویر رنگی تبدیل میکند. نتیجه این فرایند، مشاهده جهت و سرعت جریان خون بهصورت واضح است. به همین دلیل مراجعه به بهترین مرکز سونوگرافی شیراز برای انجام داپلر اهمیت زیادی دارد؛ زیرا کیفیت دستگاه و مهارت پزشک مستقیماً بر دقت نتیجه اثر میگذارد.
کاربردهای سونوگرافی داپلر رنگی در شیراز
سونوگرافی داپلر رنگی در بررسی بسیاری از مشکلات عروقی کاربرد دارد. پزشکان معمولاً زمانی بیمار را به بهترین مرکز سونوگرافی شیراز ارجاع میدهند که نیاز به ارزیابی دقیق جریان خون وجود داشته باشد.
از جمله کاربردهای رایج میتوان به بررسی عروق پا برای تشخیص لخته خون، ارزیابی عروق گردن و کنترل وضعیت جنین در بارداری اشاره کرد. دقت این روش باعث شده داپلر به یکی از ابزارهای مهم تشخیصی تبدیل شود.
بررسی لخته خون در اندامها
یکی از مهمترین دلایل مراجعه به بهترین مرکز سونوگرافی شیراز انجام داپلر برای تشخیص لخته خون در وریدهای عمقی است. این بررسی در افرادی که دچار درد، تورم یا تغییر رنگ پا هستند اهمیت زیادی دارد.
ارزیابی خونرسانی در بارداری
در دوران بارداری، پزشک ممکن است مادر را به بهترین مرکز سونوگرافی شیراز ارجاع دهد تا جریان خون جفت و بند ناف بررسی شود. این ارزیابی به تشخیص زودهنگام مشکلات رشد جنین کمک میکند.
سونوگرافی داپلر رنگی در شیراز چگونه انجام میشود؟
فرآیند انجام داپلر رنگی بسیار ساده و غیرتهاجمی است. بیمار روی تخت دراز میکشد و ژل مخصوص روی ناحیه مورد نظر قرار میگیرد. سپس پزشک با حرکت دادن پروب، تصاویر را ثبت میکند. در بهترین مرکز سونوگرافی شیراز این تصاویر با وضوح بالا نمایش داده میشوند.
کل فرآیند معمولاً بین ۱۵ تا ۳۰ دقیقه طول میکشد و در بیشتر موارد درد یا ناراحتی خاصی ایجاد نمیکند. همین موضوع باعث شده بسیاری از بیماران برای بررسیهای عروقی به بهترین مرکز سونوگرافی شیراز مراجعه کنند.
آیا سونوگرافی داپلر خطر دارد؟
داپلر رنگی مانند سونوگرافی معمولی بر پایه امواج صوتی است و از اشعه استفاده نمیکند. به همین دلیل انجام آن در بهترین مرکز سونوگرافی شیراز روشی ایمن محسوب میشود.
آمادگی قبل از داپلر رنگی
در بیشتر موارد آمادگی خاصی لازم نیست، اما بسته به ناحیه بررسی ممکن است توصیههای سادهای داده شود. رعایت این نکات باعث میشود تصاویر در بهترین مرکز سونوگرافی شیراز با کیفیت بهتری ثبت شوند.
سونوگرافی داپلر رنگی در شیراز کجا انجام میشود؟
از آنجا که داپلر رنگی یک بررسی تخصصی است، انتخاب مرکز مناسب اهمیت زیادی دارد. دستگاههای پیشرفته و تفسیر دقیق، دو عامل اصلی در کیفیت نتیجه هستند. به همین دلیل بسیاری از بیماران هنگام انتخاب، به دنبال بهترین مرکز سونوگرافی شیراز هستند.
مرکز تصویربرداری پزشکی تابا در شیراز با بهرهگیری از تجهیزات مدرن، امکان انجام سونوگرافی داپلر رنگی را با دقت بالا فراهم کرده است. در این مرکز تلاش شده تصاویر با وضوح مناسب ثبت شوند تا پزشک معالج بتواند تصمیمگیری دقیقتری داشته باشد.
اهمیت کیفیت دستگاه در داپلر
در بهترین مرکز سونوگرافی شیراز ، دستگاههای بهروز قادرند تغییرات ظریف جریان خون را نیز نشان دهند. این موضوع نقش مهمی در تشخیص زودهنگام بیماریهای عروقی دارد.
نقش گزارش دقیق در ادامه درمان
پس از انجام داپلر، گزارش کامل به پزشک ارائه میشود. مراجعه به بهترین مرکز سونوگرافی شیراز که گزارش دقیق ارائه دهد، اهمیت زیادی دارد.
در مجموع، سونوگرافی داپلر رنگی روشی پیشرفته، ایمن و بسیار کاربردی برای بررسی جریان خون است. اگر پزشک این آزمایش را توصیه کرده، مراجعه به بهترین مرکز سونوگرافی شیراز میتواند دقت تشخیص را بهطور قابل توجهی افزایش دهد؛ همچنین مسیر درمان را مطمئنتر کند.
سونوگرافی غربالگری بارداری در شیراز

بهترین مرکز سونوگرافی شیراز | سونوگرافی غربالگری بارداری
سونوگرافی غربالگری بارداری یکی از مهمترین بررسیهای دوران حاملگی است که به تشخیص سلامت جنین، رشد طبیعی و شناسایی ناهنجاریها کمک میکند. بسیاری از مادران در شیراز هنگام جستجوی خدمات تصویربرداری، به دنبال بهترین مرکز سونوگرافی شیراز برای انجام غربالگری هستند. انتخاب مرکزی دقیق و مطمئن در این مرحله اهمیت بالایی دارد، زیرا نتایج غربالگری میتواند مسیر مراقبتهای بعدی را تعیین کند.
غربالگری بارداری معمولاً در دو مرحله اصلی انجام میشود: غربالگری سهماهه اول و غربالگری سهماهه دوم. هر مرحله هدف مشخصی دارد و دقت اندازهگیریها در تعیین سلامت جنین نقش مهمی دارد. مراجعه به بهترین مرکز سونوگرافی شیراز باعث میشود تصاویر با وضوح بالا و با استانداردهای علمی ثبت شوند.
غربالگری سهماهه اول
غربالگری سهماهه اول معمولاً بین هفته ۱۱ تا ۱۳ بارداری انجام میشود. در این مرحله، ضخامت پشت گردن جنین (NT) و استخوان بینی بررسی میشود. این اندازهگیریها به تشخیص احتمال اختلالات کروموزومی کمک میکنند.
مراجعه به بهترین مرکز سونوگرافی شیراز اهمیت دارد، زیرا دقت میلیمتری در اندازهگیری NTو سایر شاخصها میتواند نتیجه غربالگری را تعیین کند.
اهمیت اندازهگیری NT و استخوان بینی
افزایش ضخامت NT یا مشاهده ناهنجاری در استخوان بینی میتواند نیاز به آزمایشهای تکمیلی را نشان دهد. در بهترین مرکز سونوگرافی شیراز ، پزشکان با تجربه و دستگاههای پیشرفته این اندازهگیریها را با دقت بالا انجام میدهند.
بررسی ضربان قلب و ساختار اولیه اندامها
در این مرحله، ضربان قلب، وضعیت جفت و ساختار اولیه اندامها نیز بررسی میشود. تصاویر دقیق و گزارش کامل در بهترین مرکز سونوگرافی شیراز باعث آرامش خاطر مادر میشود.
غربالگری سهماهه دوم

بهترین مرکز سونوگرافی شیراز | غربالگری سهماهه دوم
غربالگری سهماهه دوم که معمولاً بین هفته ۱۸ تا ۲۲ انجام میشود، به عنوان سونوگرافی آنومالی شناخته میشود. در این مرحله ساختار اندامهای داخلی جنین، شامل مغز، قلب، کلیهها، ستون فقرات و دستها و پاها با جزئیات بیشتری بررسی میشود.
مراجعه به بهترین مرکز سونوگرافی شیراز در این مرحله اهمیت بیشتری دارد، زیرا حتی کوچکترین ناهنجاریها باید بهدرستی تشخیص داده شوند.
بررسی دقیق قلب و مغز جنین
در این مرحله، حفرههای قلب و جریان خون جنین ارزیابی میشود و ساختار مغز با دقت اندازهگیری میشود.
در بهترین مرکز سونوگرافی شیراز ، دستگاههای پیشرفته تصاویر واضحی ارائه میدهند تا پزشک معالج بتواند تصمیمات دقیق بگیرد.
ارزیابی رشد و مایع آمنیوتیک
وزن تخمینی جنین و میزان مایع آمنیوتیک نیز بررسی میشود. افزایش یا کاهش غیرطبیعی مایع میتواند نشانه مشکلاتی باشد که نیاز به پیگیری دارند.
انجام این بررسیها در بهترین مرکز سونوگرافی شیراز موجب برنامهریزی مراقبتهای دقیقتر میشود.
سونوگرافی غربالگری بارداری در شیراز کجا انجام شود؟
انتخاب مرکز مناسب برای انجام غربالگری بارداری بسیار مهم است. کیفیت دستگاه، وضوح تصاویر و تجربه پزشک، سه عامل اصلی در دقت نتایج هستند. به همین دلیل مادران باردار اغلب به دنبال بهترین مرکز سونوگرافی شیراز هستند تا اطمینان داشته باشند تصاویر دقیق و قابل اعتماد ثبت میشود.
مرکز تصویربرداری تابا، یکی از مراکز معتبر است که تمامی مراحل غربالگری بارداری را با تجهیزات مدرن و کادر متخصص انجام میدهد. این مرکز با رعایت استانداردهای بینالمللی، امکان انجام سونوگرافی سهبعدی و چهاربعدی، داپلر رنگی و سایر بررسیهای غربالگری را با بالاترین دقت فراهم کرده است.
اهمیت کیفیت دستگاه در نتیجه غربالگری
وضوح تصویر و دقت اندازهگیریها در غربالگری اهمیت حیاتی دارد. استفاده از دستگاههای بهروز در بهترین مرکز سونوگرافی شیراز ، امکان تشخیص دقیق مشکلات جزئی را فراهم میکند.
نقش تجربه پزشک در تفسیر تصاویر
گزارش دقیق و علمی سونوگرافی، مسیر تصمیمگیری درمانی را برای پزشک معالج هموار میکند.
در تابا، نتایج غربالگری به صورت مستند و قابل استناد ارائه میشوند تا برنامه مراقبتی مناسب برای مادر و جنین تدوین شود.
در نهایت، سونوگرافی غربالگری بارداری در شیراز یک مرحله کلیدی در مراقبتهای دوران حاملگی است. مراجعه به بهترین مرکز سونوگرافی شیراز و استفاده از تجهیزات پیشرفته و تفسیر تخصصی پزشک، نقش مهمی در تشخیص زودهنگام ناهنجاریها دارد.
سونوگرافی پروستات در شیراز چگونه انجام میشود؟

بهترین مرکز سونوگرافی شیراز | سونوگرافی پروستات
سونوگرافی پروستات یکی از روشهای دقیق و غیرتهاجمی برای بررسی اندازه، شکل و وضعیت غده پروستات در مردان است. این آزمایش معمولاً برای افرادی که علائمی مانند تکرر ادرار، دشواری در شروع ادرار، سوزش یا درد لگنی دارند توصیه میشود. بسیاری از بیماران برای یافتن مرکز مطمئن، به دنبال بهترین مرکز سونوگرافی شیراز هستند تا این بررسی حساس با دقت بالا انجام شود.
پروستات غدهای کوچک زیر مثانه است. با افزایش سن، احتمال بزرگ شدن غده یا ایجاد مشکلاتی مانند التهاب یا تودههای مشکوک افزایش مییابد. سونوگرافی پروستات امکان تشخیص زودهنگام این تغییرات را فراهم میکند.
انواع سونوگرافی پروستات در شیراز
سونوگرافی پروستات معمولاً به دو روش اصلی انجام میشود: سونوگرافی از روی شکم و سونوگرافی ترانسرکتال. انتخاب روش مناسب به نظر پزشک و شرایط بیمار بستگی دارد.
در روش شکمی، پروب روی پوست پایین شکم قرار میگیرد و تصویر پروستات از طریق مثانه پر ثبت میشود. در روش ترانسرکتال، پروب باریک وارد مقعد میشود و تصویر دقیقتری از بافت پروستات ارائه میدهد.
سونوگرافی پروستات از روی شکم
در این روش، بیمار باید مثانه پر داشته باشد تا تصویر واضحتر شود. این روش غیرتهاجمی است و اغلب اولین گزینه برای بررسی اولیه پروستات در بهترین مرکز سونوگرافی شیراز محسوب میشود.
سونوگرافی ترانسرکتال پروستات
در این روش، پروب باریک از طریق رکتوم (آخرین بخش روده بزرگ) وارد میشود و جزئیات بافت داخلی پروستات با دقت بالا مشاهده میشود.
این تکنیک در صورت نیاز به بررسی دقیقتر یا نمونهبرداری کاربرد دارد و در بهترین مرکز سونوگرافی شیراز با رعایت استانداردهای حرفهای انجام میشود.
آمادگی قبل از سونوگرافی پروستات
قبل از انجام سونوگرافی، رعایت برخی نکات ساده اهمیت دارد. در روش شکمی، بیمار باید چند لیوان آب بنوشد و مثانه را تخلیه نکند. این موضوع باعث میشود تصویر واضحتر باشد.
در روش ترانسرکتال، گاهی پزشک توصیه میکند روده قبل از سونوگرافی تخلیه شود تا تصاویر با دقت بیشتری ثبت شوند. رعایت این نکات موجب میشود نتایج در بهترین مرکز سونوگرافی شیراز دقیق و قابل اعتماد باشند.
آیا سونوگرافی پروستات درد دارد؟
روش شکمی کاملاً بدون درد است و تنها ممکن است به دلیل پر بودن مثانه کمی احساس ناراحتی ایجاد شود.
در روش ترانسرکتال نیز درد قابل توجهی وجود ندارد و تنها فشار مختصر حس میشود؛ انجام این روش در بهترین مرکز سونوگرافی شیراز با مراقبت و تجربه پزشک به حداقل میرسد.
مدت زمان انجام سونوگرافی پروستات
مدت زمان بررسی معمولاً بین ۱۵ تا ۳۰ دقیقه است. در صورتی که بررسی نیازمند جزئیات بیشتری باشد، ممکن است زمان کمی افزایش یابد؛ اما در بهترین مرکز سونوگرافی شیراز این فرآیند با سرعت و دقت انجام میشود.
سونوگرافی پروستات در شیراز کجا انجام شود؟
کیفیت دستگاه و تجربه پزشک در دقت سونوگرافی پروستات اهمیت زیادی دارد. مراجعه به بهترین مرکز سونوگرافی شیراز باعث میشود اندازه، شکل و بافت پروستات بهصورت دقیق ارزیابی شود و مشکلات احتمالی زودتر تشخیص داده شوند.
مرکز تصویربرداری پزشکی تابا یکی از مراکز معتبر است که سونوگرافی پروستات را با استفاده از دستگاههای پیشرفته و محیط استاندارد انجام میدهد. این مرکز توانسته با تجهیزات مدرن و کادر متخصص، نتایج دقیق و قابل اطمینان ارائه دهد.
اهمیت دقت در اندازهگیری حجم پروستات
اندازهگیری دقیق حجم پروستات در تصمیمگیری درمانی بسیار حیاتی است. در بهترین مرکز سونوگرافی شیراز ، دقت میلیمتری در اندازهگیریها باعث تشخیص به موقع و برنامهریزی صحیح درمان میشود.
نقش گزارش دقیق در ادامه روند درمان
گزارش دقیق سونوگرافی، مسیر تصمیمگیری پزشک معالج را تسهیل میکند. در تابا، نتایج بهصورت دقیق و کامل ارائه میشوند تا روند درمان با اطمینان بیشتری پیگیری شود.
در نهایت، سونوگرافی پروستات در شیراز روشی ایمن، دقیق و مؤثر برای بررسی مشکلات شایع پروستات است. مراجعه به بهترین مرکز سونوگرافی شیراز مانند تابا، تضمین میکند که تشخیص صحیح انجام شده و مسیر درمان سریعتر و دقیقتر طی شود.
آمادگی برای سونوگرافی شکم و لگن ؛ چه نکاتی را رعایت کنیم؟

بهترین مرکز سونوگرافی شیراز | آمادگی برای سونوگرافی شکم و لگن
سونوگرافی شکم و لگن یکی از رایجترین روشهای تصویربرداری پزشکی است؛ این روش به پزشک کمک میکند وضعیت اندامهای داخلی مانند کبد، کلیه، مثانه، رحم و تخمدانها را بررسی کند. بسیاری از بیماران هنگام مراجعه به شیراز برای این نوع سونوگرافی، به دنبال بهترین مرکز سونوگرافی شیراز هستند؛ تا درنتیجه نتایج دقیق و قابل اعتماد دریافت کنند.
یکی از عوامل مهم در کیفیت تصاویر، آمادگی بیمار پیش از انجام سونوگرافی است. رعایت نکات ساده اما مهم میتواند وضوح تصاویر و دقت تشخیص را به شکل قابل توجهی افزایش دهد. مرکز تابا در شیراز با ارائه راهنماییهای کامل پیش از انجام سونوگرافی، به بیماران کمک میکند تا تجربهای راحت و مطمئن داشته باشند.
آمادگی برای سونوگرافی شکم
برای سونوگرافی شکم، پر بودن معده یا گاهی خالی بودن آن بسته به نوع بررسی اهمیت دارد. رعایت این نکات موجب میشود دستگاه بتواند تصاویر واضحی از کبد، کیسه صفرا، پانکراس و کلیهها ثبت کند.
پرهیز از غذاهای سنگین
معمولاً توصیه میشود چند ساعت قبل از سونوگرافی، غذاهای سنگین و پرچرب مصرف نشود. این نکته در بهترین مرکز سونوگرافی شیراز رعایت میشود تا تصاویر واضح و بدون اختلال ثبت شوند.
نوشیدن آب و آمادگی مثانه
گاهی پزشک درخواست میکند که بیمار قبل از سونوگرافی شکم مقدار مشخصی آب بنوشد تا مثانه پر باشد. این امر در تابا و سایر خدمات ارائه شده توسط بهترین مرکز سونوگرافی شیراز برای بررسی اندامهای لگنی و مثانه ضروری است.
آمادگی برای سونوگرافی لگن
سونوگرافی لگن مخصوصاً برای بررسی رحم، تخمدانها، پروستات و مثانه انجام میشود. کیفیت تصویر تا حد زیادی به آمادگی بیمار بستگی دارد. برای نمونه، داشتن مثانه پر معمولاً باعث میشود ساختار اندامها واضحتر دیده شود.
رعایت دستورالعملهای غذایی
برای برخی بررسیها ممکن است محدودیتهای غذایی کوتاهمدت نیاز باشد. رعایت این نکات در تابا کمک میکند تصاویر واضح و تشخیص پزشک دقیقتر باشد.
نکات عمومی پیش از سونوگرافی شکم و لگن

بهترین مرکز سونوگرافی شیراز | سونوگرافی شکم
رعایت برخی نکات عمومی علاوه بر آمادهسازی مستقیم، باعث راحتی بیشتر بیمار و کیفیت بهتر تصاویر میشود.
پوشیدن لباس راحت
لباسهای گشاد و راحت که امکان دسترسی به شکم و لگن را فراهم کنند، توصیه میشوند. این نکته در بهترین مرکز سونوگرافی شیراز باعث میشود انجام سونوگرافی سریعتر و راحتتر انجام شود.
آوردن نتایج قبلی
اگر پیشتر تصویربرداری یا سونوگرافی انجام شده، همراه داشتن آنها کمک میکند پزشک روند تغییرات را بهتر ارزیابی کند. مرکز تابا از بیماران میخواهد که نتایج قبلی خود را همراه داشته باشند تا بهترین تصمیمگیری تشخیصی انجام شود.
مراجعه به بهترین مرکز سونوگرافی شیراز
کیفیت دستگاه و تجربه پزشک در دقت سونوگرافی نقش مهمی دارد. مراجعه به بهترین مرکز سونوگرافی شیراز موجب میشود تصاویر واضح و گزارش دقیق ارائه شود و تشخیص سریع و درست صورت گیرد.
مرکز تصویربرداری تابا با بهرهگیری از دستگاههای پیشرفته و کادر متخصص، تمامی مراحل سونوگرافی شکم و لگن را با دقت بالا انجام میدهد. این مرکز علاوه بر رعایت استانداردهای بینالمللی، محیطی آرام و راحتی را برای بیماران فراهم کرده است.
اهمیت کیفیت دستگاه در وضوح تصاویر
در بهترین مرکز سونوگرافی شیراز ، دستگاههای مدرن جزئیات ریز اندامها را با وضوح بالا نمایش میدهند. این وضوح تصاویر، تشخیص زودهنگام مشکلات احتمالی را ممکن میکند.
نقش تجربه پزشک در تفسیر نتایج
تفسیر صحیح تصاویر سونوگرافی اهمیت حیاتی دارد و تصمیمات درمانی بر اساس آن گرفته میشود.
در تابا، نتایج با دقت بالا و به شکل قابل اعتماد ارائه میشوند تا روند درمان بیمار بهدرستی پیگیری شود.