تشخیص عفونت دندان و آبسه با کمک عکس OPG شیراز

عکس opg شیراز | تشخیص عفونت دندان و آبسه
تشخیص عفونت دندان و آبسه معمولاً تنها با معاینه و نگاهکردن به سطح دندان امکانپذیر نیست. بسیاری از عفونتها در ناحیه ریشه ایجاد میشوند، جایی که چشم انسان هیچ دیدی نسبت به آن ندارد. به همین دلیل، دندانپزشکان معمولاً قبل از شروع هر درمان ریشه یا جراحی از بیمار میخواهند عکس OPG شیراز تهیه کند. این تصویر نه تنها ریشه دندان را نشان میدهد؛ بلکه وضعیت استخوان فک، سینوسها و حتی اثرات احتمالی عفونت بر ساختارهای مجاور را نیز مشخص میکند.
در سالهای اخیر، چون شیراز یکی از قطبهای درمانی جنوب کشور شده است؛ بسیاری از بیماران از شهرهای اطراف برای بررسی مشکلات عفونی دندان به این شهر مراجعه میکنند. یکی از مراکزی که بیماران به دلیل کیفیت تصویر و دقت تشخیصی انتخاب میکنند؛ مرکز تصویربرداری پزشکی تابا است که دستگاههای دیجیتال نسل جدید برای تهیه OPG دارد. استفاده از این دستگاهها کمک میکند عفونت حتی در مراحل اولیه تشخیص داده شود و درمان سریعتر و با هزینه کمتر انجام گیرد.
نقش عکس OPG شیراز در تشخیص عفونتهای پنهان دندان
یکی از چالشهای جدی دندانپزشکی، عفونتهای پنهان است؛ عفونتهایی که نه درد مشخص دارند و نه ظاهر دندان تغییر محسوسی کرده است. این عفونتها گاهی سالها در ریشه میمانند؛ استخوان فک را تخریب میکنند و زمانی که بیمار متوجه آن میشود که کار از کار گذشته است. عکس OPG شیراز به دلیل اینکه نگاه پانورامیک ارائه میدهد، این نوع عفونتها را حتی وقتی هنوز کوچک هستند قابل مشاهده میکند.
زمانی که دندانپزشک تصویر پانورامیک بیمار را بررسی میکند، معمولاً به اطراف ریشهها دقت ویژهای دارد. کوچکترین تیرگی، حفره یا تغییر در تراکم استخوان میتواند نشاندهنده شروع عفونت باشد. یکی از مزایای OPG این است که چندین دندان را همزمان نشان میدهد؛ بنابراین اگر بیش از یک دندان درگیر باشد، تشخیص بهصورت کامل و دقیق انجام میشود.
تشخیص تغییرات استخوانی ناشی از عفونت در مراحل اولیه
عفونت دندان معمولاً ابتدا با التهاب بافت اطراف ریشه آغاز میشود و سپس بهتدریج وارد استخوان میشود. عکس OPG امکان مشاهده این تغییرات را در همان مرحله اولیه فراهم میکند. تشخیص زودهنگام باعث میشود دندانپزشک قبل از گسترش عفونت به سینوس یا دندانهای مجاور، درمان را آغاز کند.
اهمیت مشاهده همزمان چند دندان برای تشخیص منشأ عفونت
گاهی بیمار درد منتشر در فک دارد و نمیداند کدام دندان عامل اصلی عفونت است. عکس opg دندان شیراز به دندانپزشک کمک میکند چندین ریشه را همزمان بررسی کند؛ درنتیجه متوجه شود منبع عفونت دقیقاً از کدام دندان شروع شده است.
کاربرد عکس OPG شیراز در تشخیص آبسههای گسترده و خطرناک
برخی عفونتها محدود نیستند و تبدیل به آبسه میشوند؛ آبسهها میتوانند درد شدید، تورم صورت، تب، بوی بد دهان و حتی اختلال در تنفس ایجاد کنند. تشخیص دقیق اندازه و عمق آبسه، بدون تصویربرداری تقریباً غیرممکن است. پزشکان در شیراز معمولاً در چنین شرایطی بیمار را برای عکس OPG شیراز ارجاع میدهند؛ تا درنتیجه بتوانند گستردگی آبسه را قبل از تصمیمگیری برای جراحی، تخلیه یا درمان ریشه ارزیابی کنند.
یکی از نکاتی که متخصصان در OPG به آن توجه میکنند، میزان درگیری استخوان است. اگر عفونت بیش از حد گسترش یافته باشد، ممکن است حتی نیاز به آنتیبیوتیکتراپی قوی یا جراحی باشد. وجود مراکز مجهز مثل مرکز تصویربرداری پزشکی تابا که تصاویر با رزولوشن بالا ارائه میدهند؛ باعث شده تشخیص آبسهها با دقت بیشتری نسبت به گذشته انجام شود.
ارزیابی میزان تخریب استخوان در اطراف ریشه دندان
آبسهها معمولاً حفرههایی در استخوان ایجاد میکنند. عکس opg شیراز این حفرهها را بهصورت نواحی تیره نشان میدهد. هرچه تیرگی بیشتر باشد، احتمال پیشرفت آبسه بیشتر است و نیاز فوری به درمان وجود دارد.
بررسی تأثیر آبسه بر سینوس فکی و بافتهای اطراف
در دندانهای فک بالا، آبسه ممکن است روی سینوس تأثیر بگذارد و باعث درد یا التهاب سینوسی شود. عکس opg این ارتباط را بهخوبی نشان میدهد و کمک میکند درمانگر بهترین تصمیم را بگیرد.
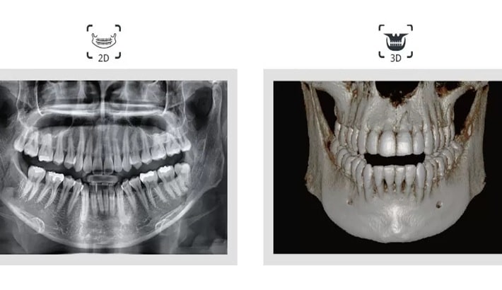
تفاوت عکس opg شیراز با سیتیاسکن دندان (کدام یک برای شما مناسبتر است؟)

عکس opg دندان | تفاوت عکس opg شیراز با سیتیاسکن دندان
وقتی فرد با درد دندان، نیاز به ایمپلنت، احتمال عفونت یا مشکلات مفصل فک به دندانپزشک مراجعه میکند؛ معمولاً اولین توصیه تهیه یک تصویر تشخیصی است. در شیراز، بیماران اغلب بین دو روش پرتکرار یعنی عکس OPG شیراز و سیتیاسکن دندان دچار تردید میشوند؛ زیرا تصور میکنند هردو یک هدف را دنبال میکنند. در حالیکه این دو روش تفاوتهای اساسی از نظر دقت، کاربرد، هزینه، سرعت و میزان اشعه دارند؛ همچنین انتخاب بین آنها باید بر اساس شرایط بیمار انجام شود. عکس opg شیراز تصویری دوبعدی و گسترده از فک، ریشهها، سینوسها و دندانها ارائه میدهد و برای بررسی اولیه بهترین انتخاب است. اما سیتیاسکن دندان، بهویژه CBCT، یک تصویر سهبعدی با جزئیات بسیار بالا تولید میکند؛ این نوع تصویربرداری برای تصمیمگیریهای حساس مانند جراحی، ایمپلنت یا بررسی شکستگیهای ظریف ضروری است. مرکز تابا این امکان را فراهم کردهاند که بیمار دقیقاً همان روشی را انجام دهد که براساس تشخیص پزشک برایش مناسبتر است.
تفاوت در نوع تصویر و میزان جزئیات میان OPG و سیتیاسکن
عکس OPG شیراز تصویری دوبعدی و وسیع از هر دو فک ارائه میدهد. این تصویر برای ارزیابی کلی وضعیت دهان، تشخیص دندانهای نهفته، بررسی شکل فک، تحلیل سینوسها و مشاهده ریشه دندانها مناسب است. گرچه OPG نمیتواند عمق و ضخامت استخوان را مانند تصاویر سهبعدی نشان دهد، اما برای شروع مسیر درمان بسیار ارزشمند است؛ زیرا دندانپزشک در یک نگاه میتواند تمامی ساختارهای مهم دهان را ارزیابی کرده و مشکلات اولیه را شناسایی کند. یکی از دلایل محبوبیت عکس OPG در شیراز ، هزینه پایین، سرعت بالا و مقدار بسیار کم اشعه آن است. به همین دلیل، بسیاری از پزشکان در اولین مراجعه بیمار، قبل از درخواست روشهای دقیقتر، تهیه OPG را لازم میدانند.
تصویر سهبعدی سیتیاسکن؛ انتخاب مناسب برای درمانهای حساس و پیچیده
سیتیاسکن دندان یا CBCT تصویری سهبعدی تولید میکند که شامل حجم، عمق، تراکم استخوان و موقعیت دقیق ساختارهاست. این تصویر به دندانپزشکان اجازه میدهد کوچکترین جزئیات را بررسی کنند، چیزی که در OPG قابل مشاهده نیست. در مواردی مانند برنامهریزی برای کاشت ایمپلنت، تعیین محل دقیق عصب فک و تشخیص کیستهای پیچیده تنها CBCT اطلاعات لازم را فراهم میکند. این روش اشعه بیشتری نسبت به OPG دارد و هزینه آن نیز بالاتر است، اما ارزش آن در روشهای درمانی حساس بسیار بالا است. مرکز تصویربرداری پزشکی تابا در شیراز از دستگاههای CBCT نسل جدید استفاده میکند تا تصویرها با کمترین خطا و دقیقترین جزئیات ثبت شود.
تفاوت در کاربردهای درمانی و تشخیصی OPG و سیتیاسکن
در بسیاری از موارد، نیازی به تصویربرداری سهبعدی نیست و همان عکس OPG شیراز کافی است. برای مثال، برای ارزیابی پوسیدگیهای گسترده، تشخیص دندان عقل نهفته، ارزیابی نیاز به ارتودنسی، بررسی عفونتهای اولیه ، OPG اولین و مناسبترین گزینه است. این روش سریع، بدون درد و کمهزینه بوده و با یک نگاه کلی وضعیت دهان را مشخص میکند. حتی در کودکانی که امکان بیحرکتماندن طولانی ندارند، OPG گزینهای بسیار مناسب و کماشعه است. همچنین برای بیمارانی که تنها قصد چکاپ دورهای دارند، استفاده از OPG منطقیتر و مقرونبهصرفهتر است.
موارد ضروری برای انجام سیتیاسکن و محدودیتهای OPG در تشخیص دقیق
در برخی موارد، عکسOPG شیراز به دلیل دوبعدیبودن قادر به نمایش جزئیات دقیق نیست. برای مثال، برای بررسی مسیر عصب فک پایین، تشخیص شکستگیهای ظریف، تحلیل دقیق سینوسها، تشخیص تودهها و… تنها CBCT اطلاعات کاملی ارائه میدهد. بیمارانی که سابقه جراحی، عفونتهای شدید یا دردهای مزمن مفصل دارند نیز معمولاً به سیتیاسکن نیاز پیدا میکنند. به همین دلیل، در مرکز تابا معمولاً پس از مشاهده OPG و در صورت نیاز به بررسی دقیقتر، CBCT برای تکمیل فرآیند انجام میشود.
کاربرد OPG در ارتودنسی: بررسی نقش آن در درمان ارتودنسی

عکس opg دندان | کاربرد OPG در ارتودنسی
OPG یک نوع تصویر برداری رادیولوژیکی است که به ویژه در دندانپزشکی و ارتودنسی کاربرد فراوانی دارد. این تصویر به صورت یک عکس پانورامیک از فکها، دندانها و ساختارهای اطراف آنها ارائه میدهد؛ درنتیجه اطلاعات ارزشمندی برای تشخیص مشکلات دندانی و فکی فراهم میکند. در درمانهای ارتودنسی، OPG به دلیل ویژگیهای خاص خود در ارزیابی و طراحی درمان نقشی کلیدی ایفا میکند.
تشخیص ناهنجاریهای فکی و دندانی
یکی از کاربردهای اصلی OPG در ارتودنسی، کمک به تشخیص ناهنجاریهای فکی و دندانی است. این عکس به ارتودنتیست کمک میکند تا:
- وضعیت دندانهای عقل و نیاز به کشیدن آنها را بررسی کند.
- الگوی رشد دندانها و فکها را مشاهده کند تا بتواند درمانهای مناسب را طراحی کند.
- مشکلات اسکلتی و فکی مانند ناهنجاریهای تناسب فک بالا و پایین را شناسایی کند.
بررسی وضعیت دندانهای نهفته
در برخی موارد، دندانها در لثه پنهان شده و نمیتوانند به طور طبیعی از لثه بیرون بیایند. عکس OPG شیراز به شناسایی این دندانهای نهفته کمک میکند؛ همچنین در تعیین اینکه آیا نیاز به جراحی یا درمان ارتودنسی برای جابجایی آنها است، نقش مؤثری دارد.
طراحی درمانهای ارتودنسی
OPG اطلاعات دقیقی از ساختار فک و دندانها به ارتودنتیست میدهد که برای طراحی درمانهای ارتودنسی ضروری است. این تصویر کمک میکند تا بهترین روشهای ارتودنسی برای اصلاح مشکلات دندانی و فکی انتخاب شوند، چه درمان با براکتهای ثابت و چه با روشهای دیگر باشد.
پیگیری درمان ارتودنسی
در طول درمان ارتودنسی، عکسOPG شیراز برای نظارت بر پیشرفت درمان و اطمینان از جابجایی صحیح دندانها استفاده میشود. این تصاویر میتوانند تغییرات در موقعیت دندانها و فکها را نشان دهند و کمک کنند تا در صورت نیاز، طرح درمانی اصلاح شود.
تعیین زمان مناسب برای شروع درمان
OPG به ارتودنتیست کمک میکند تا زمانی که دندانها و فکها به اندازه کافی برای شروع درمان ارتودنسی آماده هستند را تعیین کند. این ارزیابی کمک میکند تا درمان ارتودنسی در زمان مناسب آغاز شود و بیشترین تاثیر را داشته باشد.
تشخیص مشکلات مفصلی فک
در بسیاری از بیماران ارتودنسی، مشکلات مفصلی فک (TMD) وجود دارد که میتواند در نتیجه ناهماهنگی فکها یا دندانها باشد. عکس OPG شیراز میتواند به تشخیص مشکلات مفصلی و کمک به طراحی درمانهای متناسب با این مشکلات بپردازد.
در درمانهای ارتودنسی، OPG ابزاری بسیار ارزشمند است که به ارتودنتیستها امکان میدهد تا مشکلات دندانی و فکی را با دقت بیشتری تشخیص دهند؛ برنامه درمانی مناسبتری طراحی کنند و پیشرفت درمان را به خوبی پیگیری کنند. این تصویر به علاوه اینکه در مرحله تشخیص و طراحی درمان موثر است؛ در پیگیری و تنظیم درمانها نیز نقش مهمی ایفا میکند.
OPG دندان در بارداری: آیا بیخطر است؟

عکس opg شیراز | OPG دندان در بارداری
بارداری دوران حساسی است که سلامت مادر و جنین اهمیت زیادی دارد. بسیاری از مادران باردار هنگام بروز مشکلات دندانی دچار تردید میشوند که آیا انجام عکس OPG شیراز در این دوران بیخطر است یا خیر. دندانپزشکان بر این باورند که سلامت دهان مادر به سلامت عمومی و رشد جنین نیز کمک میکند؛ زیرا عفونتها و التهابهای دهان میتوانند باعث مشکلات جدی شوند. خوشبختانه، OPG دوز بسیار پایینی از اشعه دارد و با رعایت اصول ایمنی، اغلب در شرایط ضروری بیخطر محسوب میشود.
مرکز تصویربرداری تابا، با استفاده از تجهیزات مدرن دیجیتال و محافظت ویژه برای مادر و جنین، OPG را با کمترین میزان اشعه انجام میدهد. متخصصان این مرکز از پوششهای سربی مناسب برای محافظت ناحیه شکم استفاده میکنند تا تنها بخش موردنظر دهان در معرض اشعه قرار گیرد. این روش امکان تشخیص دقیق مشکلات دندانی بدون خطر جدی برای جنین فراهم میکند.
شرایط انجام OPG در دوران بارداری
پزشک قبل از هر تصویربرداری ابتدا ضرورت آن را بررسی میکند. اگر مشکل دندان یا درد قابل توجهی وجود داشته باشد، تصویربرداری بهصورت انتخابی توصیه میشود. بسیاری از مشکلات ساده دندان، مانند پوسیدگیهای سطحی، ممکن است با معاینه بالینی یا عکس داخل دهانی تشخیص داده شوند. اما اگر علائم شدید، تورم، آبسه یا درد مداوم وجود داشته باشد؛ OPG دندان در بارداری میتواند به تشخیص سریع و جلوگیری از پیشرفت عفونت کمک کند.
استفاده از محافظهای سربی و تجهیزات ایمنی
در مراکز حرفهای شیراز مانند مرکز تصویربرداری پزشکی تابا، مادران باردار حین عکس OPG شیراز با پیشبند سربی محافظت میشوند. این پوشش اشعه را از ناحیه شکم و جنین باز میدارد و تنها دندانها و فک در معرض اشعه قرار میگیرند. تجهیزات دیجیتال باعث کاهش دوز اشعه تا حد چشمگیری میشود؛ بهطوری که میزان اشعه بسیار کمتر از بسیاری از پرتوهای روزمره محیطی است و خطری برای جنین ایجاد نمیکند.
زمانبندی مناسب برای انجام OPG در بارداری
اگر نیاز فوری وجود نداشته باشد، توصیه میشود OPG دندان در سهماهه دوم بارداری انجام شود. در این دوره، اندامهای حیاتی جنین تشکیل شدهاند و احتمال آسیب ناشی از اشعه بسیار کاهش مییابد. انجام تصویربرداری در سهماهه دوم ایمنتر است و دوز پایین اشعه همراه با محافظ سربی تقریباً هیچ خطری برای جنین ندارد.
شرایط اضطراری و انجام OPG در هر مرحله
در مواقع اضطراری مانند عفونت شدید، آبسه دندان یا درد غیرقابل تحمل، عکسOPG شیراز میتواند در هر مرحله از بارداری انجام شود. در این شرایط، دندانپزشک و تکنسین تصویربرداری با رعایت تمام اصول ایمنی، تصویربرداری را انجام میدهند؛ تا درنتیجه سلامت مادر و جنین هر دو حفظ شود. مرکز تصویربرداری پزشکی تابا با تجربه بالا در انجام OPG برای مادران باردار، این شرایط اضطراری را با بالاترین استانداردهای ایمنی مدیریت میکند.
مزایای انجام عکس OPG شیراز در بارداری
انجام عکس OPG شیراز در دوران بارداری امکان تشخیص سریع مشکلات دندانی را فراهم میکند. عفونت یا آبسه میتواند در مدت کوتاهی پیشرفت کند و حتی روی سلامت عمومی مادر تأثیر بگذارد. عکس OPG امکان مشاهده دقیق ریشهها، استخوان و دندانهای نهفته را فراهم میکند؛ همچنین دندانپزشک میتواند درمان به موقع مانند تخلیه آبسه یا درمان ریشه را انجام دهد.
کاهش استرس و نگرانی مادران باردار
با انجام عکس OPG در محیطی مطمئن، مادران باردار میتوانند بدون نگرانی از عوارض اشعه، مشکل دندان خود را شناسایی و درمان کنند. تجربههای موفق در مراکز حرفهای مانند مرکز تصویربرداری پزشکی تابا باعث شده بسیاری از مادران با آرامش نسبت به انجام OPG اقدام کنند؛ در نتیجه دغدغههای ناشی از سلامت جنین و درمان دندان کاهش یابد.
اهمیت مراقبت از سلامت دهان در دوران بارداری
سلامت دهان مادر باردار به کاهش خطر عفونتهای سیستمیک، التهاب و مشکلات تغذیهای کمک میکند. با استفاده از OPG، دندانپزشک میتواند به موقع اقدامات درمانی مناسب را انجام دهد و از پیشرفت مشکلات دندانی جلوگیری کند. این موضوع نقش مهمی در سلامت مادر و رشد جنین دارد و انتخاب یک مرکز معتبر مانند تابا تضمینکننده کیفیت و ایمنی تصویربرداری است.
نحوه قرارگیری صحیح بیمار در دستگاه OPG برای نتیجه مطلوب

عکس opg شیراز | نحوه قرارگیری صحیح بیمار
انجام عکس OPG شیراز با کیفیت بالا بستگی مستقیم به نحوه صحیح قرارگیری بیمار در دستگاه دارد. اگر بیمار در موقعیت مناسب قرار نگیرد، تصویر ممکن است تار، کج یا غیرقابل استفاده باشد و پزشک نتواند تشخیص دقیقی ارائه دهد. در مرکز تصویربرداری پزشکی تابا پیش از شروع تصویربرداری، نکات مهمی برای تنظیم وضعیت بدن، چانه، فک و سر بیمار رعایت میشود. این مراحل باعث میشوند تصویر پانورامیک تمام دندانها و فک با حداقل اعوجاج ثبت شود و تشخیص مشکلات دندانی و فکی دقیقتر انجام شود.
آمادهسازی بیمار قبل از انجام OPG
قبل از هر چیز، تکنسین از بیمار میخواهد تمام اجسام فلزی مانند زیورآلات، عینک، گوشواره و دندان مصنوعی موقت را خارج کند. این فلزات میتوانند در تصویر ایجاد سایه و خطا کنند و کیفیت OPG را کاهش دهند. همچنین لباسهای گشاد یا یقههای بلند که در ناحیه گردن و فک قرار میگیرند، باید تنظیم شوند تا مانع تصویربرداری نشوند. آمادهسازی صحیح باعث میشود حتی بیماران حساس یا کودکان نیز تصویری واضح و کامل داشته باشند.
وضعیت ایستادن و تکیه دادن بیمار
برای گرفتن OPG، بیمار باید صاف بایستد و پاها به اندازه عرض شانه باز باشد تا تعادل حفظ شود. تنه بیمار نباید به جلو یا عقب خم شود و شانهها نیز باید در یک راستا قرار بگیرند. در مرکز تصویربرداری پزشکی تابا، تکنسینها از بیمار میخواهند دستههای مخصوص را بگیرند یا تکیهگاههایی را تنظیم کنند تا بدن ثابت بماند. این موقعیت ایستاده باعث میشود تصویر کاملاً هم سطح ثبت شود و انحرافات احتمالی کاهش یابد.
نحوه قرارگیری سر و فک برای تصویر دقیق
قرارگیری صحیح سر و فک مهمترین عامل برای ثبت تصویر واضح است. چانه باید روی تکیهگاه مخصوص قرار گیرد و لبها بسته و آرام باشند. فک بالایی و پایینی در یک راستا قرار میگیرند؛ تکنسینها معمولاً بیمار را راهنمایی میکنند که دندانهای آسیاب را به آرامی روی هم قرار دهد. رعایت این نکات باعث میشود تمام ریشهها، دندانها و مفصل گیجگاهی فکی بهدرستی در تصویر نمایش داده شوند.
تنظیم خطوط میانی و عمودی سر
دستگاه OPG دارای خطوط راهنمایی برای تراز کردن سر بیمار است. مرکز تصویربرداری پزشکی تابا از این خطوط برای تنظیم دقیق وسط صورت و فک استفاده میکند. بیمار باید سر خود را کمی جلو نگه دارد تا تمام دندانها در مرکز تصویر قرار گیرند. هر گونه چرخش یا خم شدن سر باعث کج شدن تصویر و مشکلات در تشخیص دندانپزشک میشود.
حرکت و ثبات بدن حین تصویربرداری
یکی از مهمترین نکات درعکس OPGشیراز ، حفظ ثبات بدن و سر در طول فرآیند است. حرکت کوچک میتواند باعث تار شدن تصویر و نیاز به تکرار تصویربرداری شود. تکنسینها در مرکز تصویربرداری پزشکی تابا از بیمار میخواهند چند ثانیه نفس خود را کنترل کند و کاملاً آرام بایستد. استفاده از دستهها و تکیهگاهها به ویژه برای کودکان و سالمندان بسیار مهم است تا تصویر نهایی با کیفیت مطلوب ثبت شود.
راهنمایی برای بیماران با محدودیت حرکتی
برای بیمارانی که توانایی ایستادن طولانی ندارند، از صندلی مخصوص یا تکیهگاههای اضافی استفاده میشود. این کمک میکند تا بدن و سر در موقعیت صحیح باقی بمانند و تصویر دقیق ثبت شود. مرکز تابا با تجربه و تجهیزات پیشرفته، حتی بیماران با محدودیت حرکتی را نیز به بهترین شکل تصویربرداری میکند؛ تا درنتیجه هیچ مشکلی در تشخیص وجود نداشته باشد.
بررسی نهایی قبل از گرفتن تصویر
قبل از فعال شدن دستگاه، تکنسین وضعیت بیمار را دوباره چک میکند. چانه، لبها، خط میانی سر و دندانها بررسی میشوند تا مطمئن شود هیچ مانعی در مسیر تصویر وجود ندارد. این مرحله کلیدی است و باعث میشود عکس OPG شیراز با کیفیت عالی و مناسب تشخیص نهایی ثبت شود.
اهمیت قرارگیری صحیح در تشخیص دقیق
تصویر OPG که با قرارگیری صحیح ثبت شود؛ تمام جزئیات دندانها، ریشهها، مفصل فک و استخوانهای پیرامون را به صورت واضح نشان میدهد. دندانپزشک میتواند پوسیدگیها، آبسهها، دندانهای نهفته و تحلیل استخوان را با دقت بررسی کند. هرگونه خطا در موقعیت بیمار میتواند باعث نیاز به تکرار تصویر، صرف وقت و هزینه بیشتر و تأخیر در درمان شود. بنابراین رعایت دقیق نکات قرارگیری، کیفیت تصویر و دقت تشخیص را تضمین میکند.
همکاری بیمار و تکنسین برای بهترین نتیجه
همکاری بیمار و راهنمایی تکنسین نقش مهمی در گرفتن تصویر با کیفیت دارد. آگاهی بیمار از نحوه صحیح ایستادن، قرار دادن چانه و حفظ ثبات بدن باعث میشود تصویر OPG کاملاً واضح باشد؛ درنتیجه دندانپزشک بتواند درمان را با اطمینان انجام دهد.
استفاده از تجهیزات پیشرفته برای تضمین کیفیت
مرکز تابا با استفاده از دستگاههای دیجیتال پیشرفته و راهنماییهای دقیق تکنسین، تصویربرداری را به گونهای انجام میدهد که کیفیت تصویر در بالاترین سطح باشد. این تجهیزات و تجربه متخصصان، اطمینان میدهد که تمام دندانها و ساختارهای فکی به صورت کامل و واضح ثبت شوند.