سونوگرافی آنومالی چیست و چرا اهمیت دارد؟

سونوگرافی | سونوگرافی آنومالی
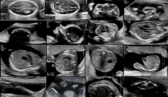
سونوگرافی آنومالی یکی از اصلیترین مراحل بررسی سلامت جنین در دوران بارداری است. این سونوگرافی معمولاً بین هفتههای ۱۸ تا ۲۲ بارداری انجام میشود و هدف آن بررسی جزئیترین قسمتهای بدن جنین است. پزشک با کمک تصاویر دقیق، رشد اندامها و وجود احتمالی ناهنجاریهای مادرزادی را کنترل میکند.
در مرکز تصویربرداری تابا، این نوع سونوگرافی با دستگاههای دیجیتال و پیشرفته انجام میشود؛ تا نتایج با بالاترین کیفیت در اختیار مادر و پزشک قرار گیرد.
چه زمانی باید سونوگرافی آنومالی انجام شود؟
بازه زمانی مشخصی برای انجام این سونوگرافی وجود دارد. اگر زودتر یا دیرتر از هفتههای تعیینشده انجام شود، ممکن است دقت تصاویر کمتر باشد. پزشکان معمولاً هفته ۲۰ بارداری را بهترین زمان معرفی میکنند؛ چون در این مرحله جنین بهاندازهای رشد کرده که اندامهایش بهطور واضح قابل بررسی باشند.
اهمیت بازه زمانی در دقت سونوگرافی آنومالی
اگر سونوگرافی خیلی زود انجام شود، احتمال دارد برخی اندامها هنوز بهطور کامل تشکیل نشده باشند. در مقابل، اگر خیلی دیر انجام شود، بررسی دقیق جزئیات بهدلیل حرکت و موقعیت جنین دشوار خواهد بود.
نقش پزشک متخصص در تعیین زمان دقیق
گاهی بسته به شرایط مادر یا سابقه خانوادگی، پزشک ممکن است زودتر یا دیرتر از بازه معمول، سونوگرافی آنومالی را پیشنهاد دهد. در چنین مواقعی تخصص و تجربه پزشک اهمیت بالایی پیدا میکند.
سونوگرافی آنومالی چه چیزهایی را بررسی میکند؟
این نوع سونوگرافی تقریباً همه اندامهای اصلی جنین را بهطور کامل ارزیابی میکند. پزشک بهدنبال اطمینان از رشد طبیعی اندامها و نبود مشکلات ساختاری است.
بررسی مغز و ستون فقرات
با کمک سونوگرافی آنومالی میتوان ساختار مغز و ستون فقرات را بررسی کرد. ناهنجاریهای جدی یا مشکلات مغزی در این مرحله قابل شناسایی هستند.
بررسی قلب و عروق
قلب جنین یکی از اندامهای حیاتی است که باید بهطور دقیق بررسی شود. پزشک با دقت شکل و عملکرد قلب را بررسی میکند تا مشکلات احتمالی قلبی-عروقی تشخیص داده شود.
بررسی اندامهای شکمی و لگنی
اندامهایی مانند معده، کلیهها، مثانه و کبد نیز با دقت بررسی میشوند. وجود یا عدم وجود مایعات در اندامها میتواند اطلاعات مهمی در اختیار پزشک قرار دهد.
بررسی اندامهای حرکتی جنین
دستها، پاها و انگشتان جنین در سونوگرافی آنومالی بهوضوح دیده میشوند. این بخش برای والدین بسیار هیجانانگیز است، زیرا اولین بار است که حرکات کوچک جنین را میبینند.
چرا سونوگرافی آنومالی برای مادر و جنین حیاتی است؟
هدف اصلی این سونوگرافی، پیشگیری از مشکلات و فراهم کردن امکان تصمیمگیری آگاهانه برای والدین و پزشک است.
شناسایی ناهنجاریهای مادرزادی
یکی از مهمترین دلایل اهمیت این سونوگرافی، شناسایی زودهنگام ناهنجاریهای مادرزادی است. این تشخیص زودهنگام فرصتهای درمانی بیشتری ایجاد میکند.
اطمینان خاطر برای والدین
بسیاری از مادران تا زمان انجام سونوگرافی آنومالی نگرانیهای زیادی دارند. مشاهده سلامت و رشد طبیعی جنین باعث آرامش ذهنی و کاهش استرس آنها میشود.
کمک به تصمیمگیری در بارداریهای پرخطر
در مواردی که مشکلات جدی وجود دارد، پزشکان میتوانند تصمیمات لازم را درباره ادامه یا مدیریت بارداری بگیرند.
خدمات مرکز تصویربرداری تابا در انجام سونوگرافی آنومالی
مرکز تصویربرداری تابا با بهرهگیری از دستگاههای پیشرفته و تیم متخصص، شرایطی را فراهم کرده است؛ تا در نتیجه مادران بتوانند با اطمینان این مرحله حساس را پشت سر بگذارند.
دستگاههای مدرن و دقیق
استفاده از تجهیزات جدید باعث افزایش وضوح تصاویر و امکان بررسی بهتر جزئیات میشود. این موضوع به پزشک کمک میکند تا ارزیابی دقیقتری از وضعیت جنین داشته باشد.
تیم پزشکی مجرب و متخصص
در مرکز تابا، سونوگرافی آنومالی توسط متخصصان با تجربه انجام میشود. همین موضوع باعث میشود کیفیت تشخیص بالا باشد و مادران نتایج دقیقتری دریافت کنند.
آیا سونوگرافی برای جنین ضرر دارد؟

سونوگرافی | خطرات برای جنین
یکی از پرسشهای بسیار رایج میان مادران باردار این است که آیا انجام سونوگرافی برای جنین ضرر دارد یا خیر. از آنجا که در دوران بارداری چندین بار سونوگرافی انجام میشود، نگرانی درباره سلامت جنین کاملاً طبیعی است. خوشبختانه باید گفت سونوگرافی بر پایه امواج صوتی کار میکند و هیچگونه اشعه مضری در آن استفاده نمیشود. به همین دلیل، این روش یکی از ایمنترین ابزارهای تصویربرداری برای بررسی رشد جنین محسوب میشود.
در مرکز تصویربرداری تابا، تمامی مراحل سونوگرافی با رعایت استانداردهای جهانی انجام میشود. همین موضوع باعث میشود مادران بدون نگرانی بتوانند روند بررسی سلامت جنین را ادامه دهند.
چرا سونوگرافی برای جنین ایمن در نظر گرفته میشود؟
روش سونوگرافی از امواج صوتی با فرکانس بالا استفاده میکند که برای بدن انسان هیچ خطری ایجاد نمیکند. این امواج تنها پس از برخورد با بافتها بازتاب پیدا کرده و تصویر تشکیل میدهند. برخلاف سیتی اسکن یا رادیولوژی، هیچ پرتو یونیزهشدهای وجود ندارد که بتواند به سلولهای جنین آسیب بزند.
تفاوت سونوگرافی با روشهای تصویربرداری دیگر
در روشهایی مانند رادیولوژی یا سیتی اسکن، اشعه ایکس به کار میرود که برای جنین خطرناک است؛ به همین دلیل در دوران بارداری توصیه نمیشود. اما سونوگرافی بدون هیچگونه اشعه مضر، بهترین انتخاب برای مادران باردار است.
آیا انجام زیاد سونوگرافی میتواند مضر باشد؟
گرچه سونوگرافی روشی بیخطر است، اما پزشکان توصیه میکنند تنها در صورت نیاز و بهتشخیص متخصص انجام شود. انجام بیش از حد سونوگرافیهای غیرضروری ممکن است باعث نگرانی و استرس بیمورد برای مادر شود.
سونوگرافیهای ضروری در بارداری
مهمترین سونوگرافیهای دوران بارداری شامل سونوگرافی اولیه، سونوگرافی آنومالی و سونوگرافی سه ماهه سوم است. این موارد پایه و اساس بررسی رشد و سلامت جنین را تشکیل میدهند.
نقش پزشک در تعیین تعداد سونوگرافی
پزشک بر اساس شرایط مادر، سن بارداری و سابقه خانوادگی، تعداد سونوگرافیها را مشخص میکند. بنابراین بهتر است مادران تنها به توصیه پزشک عمل کنند و از انجام سونوگرافیهای اضافی خودداری نمایند.
در مرکز تصویربرداری تابا، مادران میتوانند انواع سونوگرافیهای بارداری را زیر نظر متخصصان با تجربه انجام دهند. دستگاههای بهروز این مرکز تصاویر باکیفیتی ارائه میدهند که امکان بررسی دقیقتر جنین را فراهم میسازد.
اطمینان خاطر برای مادران
با توجه به استفاده از تجهیزات مدرن و تیم متخصص، مادران در مرکز تابا میتوانند با آرامش خاطر مراحل بارداری خود را پیگیری کنند. این موضوع نهتنها به کاهش استرس کمک میکند بلکه روند مراقبتهای بارداری را هم بهبود میبخشد.
سونوگرافی تیروئید چگونه انجام میشود و چه کاربردی دارد؟

سونوگرافی | سونوگرافی تیروئید
سونوگرافی تیروئید یکی از دقیقترین و بیخطرترین روشها برای بررسی وضعیت غده تیروئید است. این غده کوچک اما حیاتی در جلوی گردن قرار دارد و وظیفه تنظیم متابولیسم بدن را بر عهده دارد. هرگونه تغییر در شکل، اندازه یا بافت تیروئید میتواند باعث ایجاد مشکلاتی در سلامت فرد شود. به همین دلیل، پزشکان برای تشخیص بیماریهای تیروئید معمولاً سونوگرافی را توصیه میکنند.
در مرکز تصویربرداری تابا، سونوگرافی تیروئید با دستگاههای مدرن و با دقت بالا انجام میشود تا کوچکترین تغییرات در بافت غده شناسایی گردد.
سونوگرافی تیروئید چگونه انجام میشود؟
فرآیند انجام این سونوگرافی بسیار ساده، بدون درد و غیرتهاجمی است. بیمار به پشت روی تخت دراز میکشد و گردن کمی به عقب کشیده میشود تا دسترسی به غده تیروئید آسانتر باشد.
مراحل انجام سونوگرافی تیروئید
ابتدا ژل مخصوصی روی پوست ناحیه گردن مالیده میشود تا حرکت پروب دستگاه راحتتر باشد و تصاویر با وضوح بالاتر ثبت شوند. سپس متخصص پروب را روی گردن حرکت میدهد و تصاویر در لحظه روی مانیتور نمایش داده میشوند.
مدت زمان سونوگرافی تیروئید
کل فرآیند معمولاً بین ۱۰ تا ۲۰ دقیقه طول میکشد و پس از پایان، بیمار میتواند بلافاصله به فعالیتهای روزمره خود بازگردد. هیچ نیازی به آمادگی خاصی قبل از این سونوگرافی وجود ندارد.
کاربردهای سونوگرافی تیروئید
این روش کاربردهای گستردهای در تشخیص و پیگیری بیماریهای مرتبط با غده تیروئید دارد.
شناسایی ندولها و تودههای تیروئید
یکی از مهمترین کاربردهای سونوگرافی، تشخیص وجود ندولها یا تودههای مشکوک در غده تیروئید است. این ندولها میتوانند خوشخیم یا بدخیم باشند و شناسایی زودهنگام آنها اهمیت زیادی دارد.
بررسی التهاب یا بزرگی تیروئید
در شرایطی مانند گواتر یا تیروئیدیت، اندازه غده تغییر میکند. سونوگرافی میتواند میزان بزرگی و وضعیت بافت را بهوضوح نشان دهد.
هدایت نمونهبرداری (بیوپسی)
گاهی پزشک نیاز دارد از غده تیروئید نمونهبرداری کند. در این حالت، سونوگرافی بهعنوان راهنما استفاده میشود تا سوزن بهطور دقیق در محل موردنظر وارد شود.
مزایای سونوگرافی تیروئید در مرکز تصویربرداری تابا
مرکز تصویربرداری تابا شرایطی را فراهم کرده است که بیماران بتوانند با دقت و آرامش این سونوگرافی را انجام دهند.
دقت بالا در تشخیص
کیفیت بالای دستگاههای مورد استفاده در تابا، تصاویر واضحی از بافت تیروئید ارائه میدهد و امکان شناسایی ضایعات کوچک را نیز فراهم میکند.
گزارش تخصصی و سریع
پس از انجام سونوگرافی، گزارش دقیق توسط پزشک متخصص آماده شده و در اختیار بیمار قرار میگیرد. این سرعت عمل به تشخیص سریعتر و شروع درمان کمک زیادی میکند.
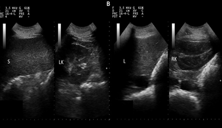
سونوگرافی کبد و طحال؛ چه اطلاعاتی در اختیار پزشک میگذارد؟

سونوگرافی | سونوگرافی کبد و طحال
کبد و طحال از اندامهای حیاتی بدن هستند که نقش مهمی در تنظیم فرآیندهای متابولیک و سیستم ایمنی ایفا میکنند. بررسی دقیق این اندامها در بسیاری از بیماریها ضروری است؛ سونوگرافی کبد و طحال یکی از بهترین و بیخطرترین روشها برای ارزیابی وضعیت آنها محسوب میشود. این سونوگرافی به پزشک کمک میکند تا تغییرات بافتی، اندازه غیرطبیعی یا وجود ضایعات احتمالی را شناسایی کند.
در مرکز تصویربرداری تابا، انجام سونوگرافی کبد و طحال با استفاده از دستگاههای مدرن و توسط متخصصان باتجربه انجام میشود؛ تا درنتیجه تصاویر با وضوح بالا و گزارش دقیق در اختیار پزشک قرار گیرد.
سونوگرافی کبد چه اطلاعاتی میدهد؟
کبد بهعنوان بزرگترین غده بدن، وظایف حیاتی مانند سمزدایی، ذخیره انرژی و تولید پروتئینها را بر عهده دارد. تغییر در بافت یا اندازه این اندام میتواند نشانه بیماریهای جدی باشد.
تشخیص کبد چرب
یکی از شایعترین دلایل انجام سونوگرافی کبد، بررسی میزان رسوب چربی در بافت کبد است. این روش میتواند شدت بیماری کبد چرب را در مراحل اولیه مشخص کند.
بررسی تودهها و ضایعات کبدی
سونوگرافی قادر است وجود تودهها، کیستها یا ضایعات مشکوک در بافت کبد را نشان دهد. در صورت مشاهده مورد مشکوک، پزشک ممکن است آزمایشهای تکمیلی را پیشنهاد دهد.
کنترل بیماریهای مزمن کبدی
در بیماران مبتلا به هپاتیت یا سیروز، سونوگرافی کبد به پزشک کمک میکند تا روند بیماری را تحت نظر داشته و تغییرات احتمالی را پیگیری کند.
سونوگرافی طحال چه کاربردی دارد؟
طحال نقش کلیدی در سیستم ایمنی و تولید سلولهای خونی دارد. هرگونه تغییر در اندازه یا بافت این اندام میتواند نشانه اختلالات خونی یا عفونی باشد.
تشخیص بزرگی طحال (اسپلنومگالی)
یکی از مهمترین مواردی که در سونوگرافی طحال بررسی میشود، افزایش غیرطبیعی اندازه آن است. این وضعیت ممکن است ناشی از بیماریهای عفونی، کبدی یا خونی باشد.
شناسایی کیستها و ضایعات طحال
سونوگرافی میتواند وجود کیستها یا تودههای غیرطبیعی در طحال را آشکار کند. شناسایی زودهنگام این مشکلات به درمان سریعتر کمک میکند.
بررسی آسیبهای ناشی از ضربه
در موارد تصادف یا آسیب شدید به شکم، سونوگرافی طحال میتواند پارگی یا خونریزی داخلی را مشخص کند.
مزایای انجام سونوگرافی کبد و طحال در مرکز تصویربرداری تابا
مرکز تابا با بهرهگیری از تکنولوژی پیشرفته و متخصصان مجرب، دقت بالایی در تشخیص بیماریهای کبد و طحال ارائه میدهد.
کیفیت بالای تصاویر و تشخیص دقیق
تصاویر تهیهشده در این مرکز وضوح بالایی دارند و به پزشک امکان میدهند کوچکترین تغییرات در بافت اندامها را مشاهده کند.
آرامش خاطر بیماران
محیط حرفهای و آرام مرکز تصویربرداری تابا باعث میشود بیماران بدون استرس این آزمایش را انجام دهند. علاوه بر این، گزارشها در کوتاهترین زمان آماده شده و در اختیار پزشک معالج قرار میگیرد.
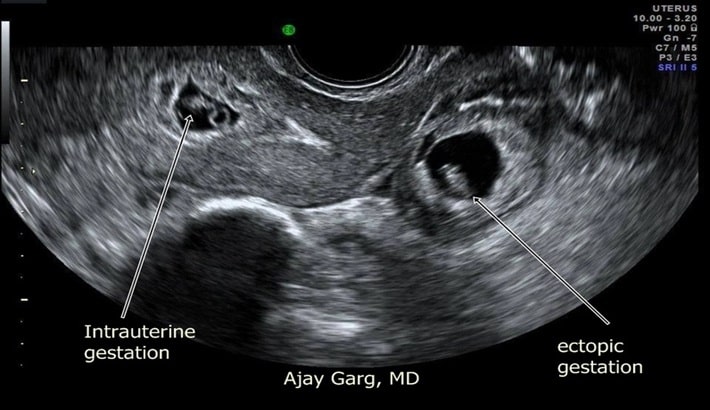
نقش سونوگرافی در تشخیص بارداری خارج رحمی

سونوگرافی | بارداری خارج رحمی
یکی از روشهای اصلی در تشخیص مشکلات بارداری، سونوگرافی است. بارداری خارج رحمی زمانی رخ میدهد که جنین به جای رحم، در لولههای فالوپ یا سایر بخشهای بدن مادر لانهگزینی کند. این وضعیت میتواند بسیار خطرناک باشد و در صورت عدم تشخیص به موقع، جان مادر را تهدید کند. سونوگرافی، بهخصوص سونوگرافی واژینال، از مهمترین ابزارهای تشخیصی در این شرایط به شمار میآید.
تشخیص زودهنگام بارداری خارج رحمی با سونوگرافی
تشخیص سریع و دقیق بارداری خارج رحمی از بروز عوارض جدی مانند پارگی لوله فالوپ و خونریزی داخلی جلوگیری میکند. پزشکان معمولاً ابتدا با آزمایش خون سطح هورمون hCG را بررسی میکنند؛ سپس به کمک سونوگرافی وجود یا عدم وجود ساک حاملگی داخل رحم را مشخص میکنند.
مزایای سونوگرافی در بررسی بارداری خارج رحمی
سونوگرافی به پزشک امکان مشاهده دقیق لولههای فالوپ، رحم و لگن را میدهد. با این روش میتوان وجود توده مشکوک در لوله فالوپ یا مایع آزاد در لگن را تشخیص داد که از نشانههای خونریزی داخلی است. به دلیل دقت بالا، سونوگرافی واژینال معمولاً به عنوان اولین انتخاب در بررسی بارداری خارج رحمی مورد استفاده قرار میگیرد.
چه زمانی سونوگرافی برای بارداری خارج رحمی لازم است؟
اگر خانمی با علائمی مثل درد شکمی شدید، خونریزی غیرطبیعی، سرگیجه یا ضعف شدید مراجعه کند؛ پزشک معمولاً انجام سونوگرافی را ضروری میداند. این روش کمک میکند تا پزشک تصمیم بگیرد که بیمار نیاز به دارو، جراحی یا صرفاً تحت نظر بودن دارد.
مراکز تصویربرداری پیشرفته با دستگاههای مدرن و حضور متخصصان با تجربه، میتوانند نقش مهمی در تشخیص سریع بارداری خارج رحمی داشته باشند. مراجعه به چنین مراکزی خطر را کاهش داده و ایمنی مادر را افزایش میدهد.
آیا سونوگرافی میتواند جنسیت جنین را بهطور دقیق مشخص کند؟

سونوگرافی | تعیین جنسیت
تشخیص جنسیت جنین یکی از موضوعات پرطرفدار و رایج در دوران بارداری است. والدین معمولاً مشتاقند بدانند فرزندشان دختر است یا پسر و این موضوع به شکل طبیعی باعث هیجان و کنجکاوی میشود. سونوگرافی بهعنوان یک روش تصویربرداری ایمن و بدون اشعه، ابزار اصلی برای تعیین جنسیت جنین است. با این حال، دقت این روش به عوامل مختلفی بستگی دارد و همیشه ۱۰۰٪ قطعی نیست.
بهترین زمان برای تشخیص جنسیت جنین با سونوگرافی
بهطور معمول، بهترین زمان برای تشخیص جنسیت جنین بین هفتههای ۱۸ تا ۲۲ بارداری است. در این بازه، اندام تناسلی جنین به اندازه کافی رشد کرده که در تصاویر سونوگرافی قابل مشاهده باشد. انجام سونوگرافی زودتر از این زمان ممکن است باعث شود اندام جنسی بهطور واضح دیده نشود و نتیجه غیرقطعی باشد.
سونوگرافی در سه ماهه اول بارداری
در سه ماهه اول، هدف اصلی سونوگرافی بررسی سلامت اولیه جنین و تشخیص بارداری سالم است. تعیین جنسیت در این مرحله معمولاً غیرممکن یا بسیار غیرقطعی است.
سونوگرافی در سه ماهه دوم
سه ماهه دوم، بهویژه هفتههای ۱۸ تا ۲۲، بهترین زمان برای تعیین جنسیت است. تصاویر واضحتر هستند و پزشک میتواند با دقت بالاتری جنسیت جنین را تشخیص دهد.
عواملی که دقت سونوگرافی در تعیین جنسیت را تحت تأثیر قرار میدهند.
تشخیص جنسیت جنین همیشه به راحتی ممکن نیست و چندین عامل میتوانند دقت آن را کاهش دهند:
وضعیت جنین در رحم
اگر جنین به شکلی قرار گرفته باشد که اندام تناسلی دیده نشود یا پاها روی هم قرار گرفته باشند، تشخیص دقیق دشوار خواهد بود.
تجربه و مهارت پزشک
تجربه متخصص سونوگرافی در مشاهده جزئیات کوچک تصاویر نقش بسیار مهمی دارد. پزشک با تجربه احتمال خطا را کاهش میدهد.
کیفیت دستگاه سونوگرافی
تصاویر واضح و با کیفیت بالا میتوانند جزئیات بیشتری از اندام جنین نشان دهند. در مراکز تخصصی مانند مرکز تصویربرداری تابا، استفاده از دستگاههای پیشرفته باعث افزایش دقت تشخیص میشود.
میزان مایع آمنیوتیک
وجود مایع کافی در اطراف جنین باعث میشود تصاویر بهتر دیده شوند. اگر مایع کمتر باشد، تشخیص دقیق دشوار خواهد بود.
مزایای تعیین جنسیت جنین با سونوگرافی
علاوه بر مشخص کردن جنسیت، سونوگرافی اطلاعات ارزشمندی درباره وضعیت سلامت جنین ارائه میدهد:
- بررسی رشد و تکامل اندامها
- بررسی وضعیت جفت و بند ناف
- ارزیابی میزان مایع آمنیوتیک
- شناسایی ناهنجاریهای احتمالی در اندامها
دانستن جنسیت جنین همچنین برای برنامهریزیهای خانوادگی، خرید لوازم مورد نیاز و آمادهسازی محیط زندگی مفید است.
نقش مراکز تخصصی در تشخیص دقیق جنسیت
مراکز تصویربرداری پیشرفته، با تجهیزات مدرن و پزشکان باتجربه، میتوانند دقت تشخیص جنسیت را به میزان قابل توجهی افزایش دهند. در مرکز تصویربرداری تابا، سونوگرافی با کیفیت بالا و گزارش دقیق ارائه میشود؛ همچنین والدین میتوانند با آرامش خاطر، هم سلامت جنین و هم جنسیت او را بررسی کنند.
آرامش و اطمینان والدین
در مرکز تابا، مادران میتوانند بدون استرس سونوگرافی را انجام دهند. وجود تیم متخصص و محیط حرفهای باعث میشود که تجربه بررسی جنسیت و سلامت جنین آرامشبخش باشد؛ در نتیجه اطلاعات دقیق در اختیار خانواده قرار گیرد.
امکان پیگیری و مقایسه نتایج
یکی دیگر از مزایای مراکز تخصصی، امکان ذخیره تصاویر و پیگیری روند رشد جنین در جلسات بعدی است. این موضوع کمک میکند تا تغییرات کوچک هم بررسی شوند و والدین از وضعیت سلامت فرزندشان اطمینان پیدا کنند.
چه عواملی روی وضوح و کیفیت تصاویر سونوگرافی تأثیر میگذارند؟

سونوگرافی | عوامل تاثیرگذار
سونوگرافی یکی از رایجترین و ایمنترین روشهای تصویربرداری پزشکی است؛ این روش به پزشکان امکان میدهد ساختارهای داخلی بدن را بهصورت زنده و دقیق مشاهده کنند. کیفیت و وضوح تصاویر سونوگرافی نقش بسیار مهمی در تشخیص درست بیماریها و شرایط پزشکی دارد. چندین عامل میتوانند کیفیت تصاویر را تحت تأثیر قرار دهند و دقت تشخیص را افزایش یا کاهش دهند.
کیفیت دستگاه سونوگرافی
یکی از اصلیترین عوامل مؤثر بر وضوح تصاویر، نوع و کیفیت دستگاه سونوگرافی است. دستگاههای مدرن دارای تکنولوژی پیشرفته، وضوح تصویر بالاتر و قابلیتهای پردازش بهتر هستند.
- رزولوشن بالای پروبهاپ: پروبهای جدید تصاویر واضحتری ایجاد میکنند و جزئیات کوچک بافتها را بهتر نشان میدهند.
- قابلیتهای تصویربرداری چند بعدی: دستگاههای سه بعدی و چهار بعدی تصاویر با عمق و جزئیات بیشتر ارائه میدهند که در بررسی جنین یا اندامهای داخلی مفید است.
در مرکز تصویربرداری تابا، استفاده از تجهیزات پیشرفته باعث میشود تصاویر با دقت بالا ثبت شوند و تشخیص بیماریها آسانتر شود.
مهارت و تجربه تکنسین یا پزشک
تجربه و مهارت شخصی که سونوگرافی را انجام میدهد، اهمیت زیادی دارد. نحوه حرکت پروب، انتخاب زاویه مناسب و تشخیص درست ساختارها، کیفیت تصاویر را به شدت تحت تأثیر قرار میدهد.
- زاویه مناسب پروب: قرار دادن پروب در زاویه درست باعث میشود بازتاب امواج صوتی بهطور بهینه ثبت شود.
- تنظیمات دستگاه: تنظیم صحیح فرکانس، عمق و کنتراست تصاویر، وضوح و دقت آنها را افزایش میدهد.
تکنسینهای مجرب مرکز تابا با سالها تجربه، تصاویر واضح و قابل اطمینان ارائه میکنند.
وضعیت بیمار و محل بررسی
شرایط فیزیکی بیمار نیز میتواند کیفیت تصاویر را تحت تأثیر قرار دهد:
- چاقی یا لایههای چربی زیاد: در افرادی که بافت چربی ضخیم دارند، امواج صوتی کمی کاهش مییابد و تصاویر ممکن است کمی تار شوند.
- موقعیت اندام یا جنین: حرکت جنین یا جایگاه اندامهای داخلی میتواند باعث کاهش وضوح تصاویر شود.
- پر بودن یا خالی بودن مثانه: در سونوگرافی لگن و مثانه، میزان پر بودن آنها روی کیفیت تصاویر تأثیر مستقیم دارد.
میزان مایع و بافت اطراف
وجود مایع کافی در اطراف اندامها، بهویژه در سونوگرافی بارداری، باعث ایجاد تصاویر واضحتر میشود.
- مایع آمنیوتیک در بارداری: سطح مناسب مایع آمنیوتیک، جزئیات اندام جنین را بهتر نشان میدهد.
- مایع در اطراف اندامهای داخلی: مایعات طبیعی یا اضافی میتوانند بازتاب امواج صوتی را بهبود یا کاهش دهند.
استفاده از ژل و تماس صحیح پروب با پوست
ژل مخصوص سونوگرافی بهعنوان رابط بین پروب و پوست عمل میکند و عبور امواج صوتی را تسهیل میکند. استفاده ناکافی از ژل یا تماس نامناسب پروب باعث ایجاد تصاویر تار و نامفهوم میشود.
- ژل کافی: باعث میشود امواج صوتی بدون مزاحمت عبور کنند و تصاویر واضح ایجاد شود.
- تماس کامل پروب با پوست: حفظ تماس مناسب پروب با پوست برای ثبت تصویر با کیفیت ضروری است.
وضوح و کیفیت تصاویر سونوگرافی به عوامل متعددی از جمله کیفیت دستگاه، مهارت تکنسین، شرایط فیزیکی بیمار و… بستگی دارد. رعایت تمام این موارد باعث میشود تصاویر دقیقتر و قابل اطمینانتر باشند؛ در نتیجه پزشک بتواند تشخیص درست و بهموقع بدهد.
مرکز تصویربرداری تابا با بهرهگیری از تجهیزات پیشرفته و تیم متخصص، شرایطی را فراهم میکند که تصاویر سونوگرافی با بالاترین کیفیت و دقت تهیه شوند؛ همچنین بیماران بتوانند با آرامش کامل این بررسی را انجام دهند.
نقش سونوگرافی در تشخیص آپاندیسیت

سونوگرافی | تشخیص آپاندیسیت
آپاندیسیت یا التهاب آپاندیس یکی از شایعترین علل درد شکمی حاد است که نیازمند تشخیص سریع و درمان فوری میباشد. تشخیص به موقع آپاندیسیت میتواند از پارگی آپاندیس و بروز عوارض خطرناک مانند عفونت جلوگیری کند. سونوگرافی بهعنوان یک روش تصویربرداری غیرتهاجمی، ایمن و سریع، ابزار مهمی برای تشخیص آپاندیسیت به شمار میرود.
در مرکز تصویربرداری تابا، سونوگرافی آپاندیسیت با تجهیزات مدرن و توسط متخصصان مجرب انجام میشود؛ تا درنتیجه تصاویر واضح و قابل اعتماد برای تشخیص دقیق فراهم شود.
چرا سونوگرافی برای تشخیص آپاندیسیت مفید است؟
سونوگرافی امکان مشاهده مستقیم آپاندیس و بافت اطراف آن را فراهم میکند. این روش به پزشک کمک میکند تا التهاب، ضخامت غیرطبیعی دیواره آپاندیس یا وجود مایع اطراف آن را شناسایی کند.
مزایای سونوگرافی نسبت به سایر روشها
- ایمن و بدون اشعه: برخلاف سیتی اسکن، سونوگرافی هیچ پرتو مضر برای بدن ندارد.
- قابل تکرار: در صورت نیاز میتوان سونوگرافی را چندین بار انجام داد بدون نگرانی از آسیب به بدن.
- قابلیت انجام فوری: در اورژانسها، سونوگرافی میتواند سریع وضعیت بیمار را ارزیابی کند.
چگونه سونوگرافی آپاندیسیت انجام میشود؟
بیمار به پشت روی تخت دراز میکشد و شکم با ژل مخصوص پوشانده میشود تا پروب دستگاه بهراحتی روی پوست حرکت کند. متخصص سونوگرافی پروب را روی ناحیه دردناک حرکت میدهد و تصاویر بهصورت زنده روی مانیتور مشاهده میشوند.
نکات مهم در انجام سونوگرافی
- تمرکز روی ناحیه پایین شکم سمت راست: محل اصلی آپاندیس معمولاً در پایین و سمت راست شکم است.
- استفاده از پروب با فرکانس بالا: برای دیدن جزئیات کوچک دیواره آپاندیس و بافت اطراف، پروبهای با فرکانس بالا مورد استفاده قرار میگیرند.
- ارزیابی بافتهای اطراف: وجود مایع یا التهاب در بافتهای اطراف میتواند تشخیص را تأیید کند.
عواملی که دقت سونوگرافی در آپاندیسیت را تحت تأثیر قرار میدهند:
- تجربه و مهارت تکنسین: حرکت پروب و تشخیص درست ساختارها نقش مهمی در کیفیت تصاویر دارد.
- وضعیت فیزیکی بیمار: چاقی یا گاز روده میتواند باعث کاهش وضوح تصاویر شود.
- تجهیزات پیشرفته: استفاده از دستگاههای مدرن و پروب با کیفیت بالا دقت تشخیص را افزایش میدهد.
مزایای مراجعه به مراکز تخصصی
مرکز تصویربرداری تابا شرایطی را فراهم کرده است که تشخیص آپاندیسیت سریع، دقیق و بدون استرس انجام شود. والدین و بیماران میتوانند با آرامش خاطر سونوگرافی را انجام دهند و نتیجه دقیق را در کوتاهترین زمان دریافت کنند.
تعداد مجاز سونوگرافی در بارداری

سونوگرافی | تعداد مجاز سونوگرافی
سونوگرافی یکی از رایجترین و ایمنترین روشهای تصویربرداری در دوران بارداری است؛ این روش برای بررسی سلامت جنین، رشد اندامها و وضعیت جفت مورد استفاده قرار میگیرد. اما بسیاری از والدین میپرسند: «چه تعداد سونوگرافی در طول بارداری مجاز و ایمن است؟» پاسخ این سؤال بستگی به شرایط مادر و جنین دارد و باید توسط پزشک تعیین شود.
سونوگرافی روتین بارداری
در بارداریهای بدون مشکل، معمولاً سه سونوگرافی استاندارد توصیه میشود:
سونوگرافی سه ماهه اول (هفته ۶ تا ۱۳)
- بررسی وجود بارداری، تعداد جنینها و محل بارداری
- تخمین سن بارداری و تعیین تاریخ تقریبی زایمان
- شناسایی ناهنجاریهای اولیه
سونوگرافی سه ماهه دوم (هفته ۱۸ تا ۲۲)
- بررسی ساختار اندامها و آناتومی کامل جنین
- تشخیص ناهنجاریهای جنینی و وضعیت جفت
- امکان تعیین جنسیت جنین
سونوگرافی سه ماهه سوم (هفته ۳۰ تا ۳۶)
- بررسی رشد جنین و وزن تقریبی
- بررسی میزان مایع آمنیوتیک و موقعیت جنین
- ارزیابی سلامت جفت و بند ناف
شرایطی که نیاز به سونوگرافی بیشتر دارد.
گاهی پزشک ممکن است بسته به وضعیت مادر یا جنین، انجام سونوگرافیهای اضافی را توصیه کند:
- مشکلات بارداری قبلی: مانند سقط مکرر یا بارداری پرخطر
- مشکلات سلامتی مادر: دیابت، فشار خون بالا یا بیماریهای مزمن
- مشکلات جنینی: ناهنجاری، رشد کند یا مایع آمنیوتیک کم یا زیاد
- بارداری چندقلویی: نیاز به پایش دقیقتر برای هر جنین
در چنین شرایطی، تعداد سونوگرافیها ممکن است به بیش از سه بار برسد و پزشک بر اساس نیاز تصمیم میگیرد.
ایمنی سونوگرافی در بارداری
سونوگرافی از امواج صوتی استفاده میکند و برخلاف پرتوهای ایکس، هیچ خطر شناختهشدهای برای مادر یا جنین ایجاد نمیکند. با این حال، توصیه میشود انجام آن فقط طبق دستور پزشک و در زمانهای مورد نیاز انجام شود تا بیشترین بهرهوری حاصل شود.
نقش مراکز تخصصی مانند تابا
مرکز تصویربرداری تابا با تجهیزات مدرن و متخصصان مجرب، شرایطی فراهم کرده است که هر سونوگرافی بارداری با دقت بالا انجام شود. علاوه بر تعیین سلامت جنین، تصاویر با کیفیت بالا و گزارش دقیق در اختیار پزشک قرار میگیرد تا بهترین تصمیمگیری درمانی انجام شود.