مدت زمان انجام سی تی اسکن مغز چقدر است؟

سی تی اسکن مغز | مدت زمان انجام
سی تی اسکن مغز یکی از سریعترین و دقیقترین روشهای تصویربرداری پزشکی است. این روش با استفاده از اشعه ایکس و فناوری کامپیوتری، تصاویر دقیقی از بافتها، عروق و ساختار داخلی مغز تولید میکند. بسیاری از بیماران پیش از مراجعه میپرسند که انجام این تصویربرداری چقدر زمان میبرد؟ آیا لازم است برای آن آمادگی خاصی داشت یا خیر؟
زمان واقعی انجام سی تی اسکن مغز
مدت انجام سی تی اسکن مغز معمولاً بین پنج تا ده دقیقه است. در مواردی که از ماده حاجب (تزریق دارو برای وضوح بیشتر تصویر) استفاده نشود، کل فرایند حتی کمتر از پنج دقیقه طول میکشد. اگر نیاز به تزریق باشد، معمولاً چند دقیقه بهمنظور آمادهسازی بیمار به زمان کل اضافه میشود. این ویژگی باعث شده که سی تی اسکن مغز در شرایط اورژانسی بهعنوان نخستین روش تشخیص بهکار رود.
در مرکز تصویربرداری تابا، دستگاههای جدید چند اسلایسی استفاده میشوند که در چند ثانیه تصاویر دقیقی از مغز ثبت میکنند. همین فناوری باعث میشود بیماران در کوتاهترین زمان، تصویربرداری کامل و بدون خطا داشته باشند.
مراحل انجام سی تی اسکن مغز
در ابتدای کار، بیمار روی تخت دستگاه دراز میکشد و سر او در موقعیتی ثابت قرار میگیرد. تخت بهصورت آرام داخل دستگاه حرکت میکند و در همین زمان، تصاویر لایهبهلایه از مغز گرفته میشود. هیچ درد یا ناراحتی در این مرحله وجود ندارد. تنها لازم است بیمار چند دقیقه بیحرکت بماند تا تصاویر واضح و دقیق ثبت شود.
اگر پزشک درخواست تزریق ماده حاجب داده باشد، تکنسین متخصص ماده را از طریق وریدی وارد بدن میکند. سپس اسکن دوباره انجام میشود تا تفاوتهای عروقی و بافتی بهتر دیده شوند. تمام این مراحل زیر نظر کارشناسان رادیولوژی مرکز تابا انجام میشود تا دقت و ایمنی بیمار تضمین شود.
پس از انجام سی تی اسکن مغز
پس از پایان تصویربرداری، بیمار میتواند بلافاصله به فعالیتهای روزمره خود بازگردد. تنها در صورت تزریق ماده حاجب، نوشیدن مایعات فراوان توصیه میشود تا دارو سریعتر از بدن دفع گردد. تصاویر بهصورت دیجیتال آماده شده و توسط پزشک رادیولوژیست مرکز تابا بررسی و تفسیر میشوند.
سرعت و دقت در مرکز تصویربرداری تابا
مرکز تابا با استفاده از دستگاههای سی تی اسکن نسل جدید، امکان تصویربرداری با وضوح بالا در کمترین زمان را فراهم کرده است. این مرکز با تیمی از پزشکان و کارشناسان مجرب، علاوه بر سرعت در انجام تصویربرداری، بر کیفیت تفسیر و دقت تشخیص نیز تمرکز دارد. بیماران میتوانند با نوبتدهی آسان و محیطی آرام، تجربهای مطمئن و سریع از انجام سی تی اسکن مغز داشته باشند.
مدت زمان انجام سی تی اسکن مغز بسیار کوتاه است، اما ارزش تشخیصی آن بسیار بالا است. این روش کمک میکند پزشک در کوتاهترین زمان، وضعیت مغز و عروق را ارزیابی کند. در مرکز تصویربرداری تابا، هر مرحله از تصویربرداری با دقت، آرامش و رعایت کامل اصول ایمنی انجام میشود؛ تا درنتیجه بیماران از نتیجهای دقیق و قابل اعتماد برخوردار شوند.
سی تی اسکن مغز چه تومورهایی را نشان میدهد؟

سی تی اسکن مغز | تومورهای مغزی
سی تی اسکن مغز یکی از مهمترین و سریعترین روشهای تشخیص تومورهای مغزی است. این روش با استفاده از اشعه ایکس و فناوری پیشرفته، تصاویر مقطعی از مغز تولید میکند؛ سی تی مغز به پزشک امکان میدهد هرگونه ضایعه یا توده غیرطبیعی را با دقت بررسی کند. در بسیاری از موارد، سی تی اسکن مغز نخستین قدم برای شناسایی تومورهای مغزی محسوب میشود؛ بهویژه در مواقعی که بیمار علائمی مانند سردرد شدید، تهوع، تاری دید یا تشنج دارد.
تومورهای اولیه مغز در سی تی اسکن
تومورهای اولیه مغز، مستقیماً از بافتهای مغزی منشاء میگیرند. سی تی اسکن مغز میتواند بسیاری از آنها را بهوضوح نشان دهد.
از جمله تومورهایی که در تصاویر سی تی قابل تشخیص هستند میتوان به گلیوما، آستروسیتوما، مننژیوم و مدولوبلاستوما اشاره کرد. این تومورها معمولاً تفاوت چگالی با بافت طبیعی مغز دارند و در تصاویر، بهصورت نواحی روشن یا تیره دیده میشوند.
در برخی موارد، برای مشاهده بهتر از سی تی اسکن مغز با تزریق ماده حاجب استفاده میشود. این تزریق باعث افزایش کنتراست تصاویر میشود و به رادیولوژیست کمک میکند که حتی تومورهای کوچک را نیز تشخیص دهد.
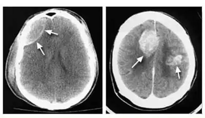
تومورهای متاستاتیک در سی تی اسکن مغز
تومورهای متاستاتیک یا ثانویه، از سایر اندامها مانند ریه، پستان یا کلیه به مغز گسترش پیدا میکنند. در سی تی اسکن مغز ، این نوع تومورها معمولاً بهصورت ضایعات گرد و با حاشیه مشخص دیده میشوند. در بیشتر مواقع، چندین تومور کوچک در بخشهای مختلف مغز مشاهده میشود. این نوع تصویربرداری برای بیماران سرطانی بسیار حیاتی است؛ زیرا به پزشک کمک میکند میزان درگیری مغز و پاسخ به درمان را ارزیابی کند.
در مرکز تصویربرداری تابا، با استفاده از دستگاههای نسل جدید چند اسلایسی، تصاویر با وضوح بالا گرفته میشود؛ تا حتی کوچکترین تودهها نیز قابل تشخیص باشند. همچنین تفسیر تصاویر توسط پزشکان رادیولوژیست با تجربه انجام میشود تا احتمال خطا به حداقل برسد.
تفاوت تومورها در تصاویر سی تی اسکن مغز
تومورها در سی تی اسکن مغز بسته به نوع، محل و میزان رشدشان ظاهر متفاوتی دارند. برخی از تومورها جامد و برخی دارای بخشهای کیستی هستند. تومورهایی مانند مننژیوم معمولاً مرز مشخصی دارند؛ در حالیکه گلیوماها گاهی مرز مشخصی نداشته و در بافت مغز نفوذ میکنند. استفاده از سی تی اسکن مغز با تزریق، در این مواقع کمک میکند تا حدود تومور دقیقتر مشخص شود.
سی تی اسکن مغز روشی سریع، ایمن و قابل اعتماد برای تشخیص تومورهای مغزی است. این روش میتواند اطلاعاتی حیاتی دربارهی اندازه، محل و ماهیت توده در اختیار پزشک قرار دهد. در مرکز تصویربرداری تابا، با بهرهگیری از تجهیزات پیشرفته و تفسیر دقیق تصاویر، امکان تشخیص زودهنگام و ارزیابی کامل تومورهای مغزی فراهم شده است. تشخیص بهموقع، نخستین گام برای درمان موفق بیماریهای مغزی است.
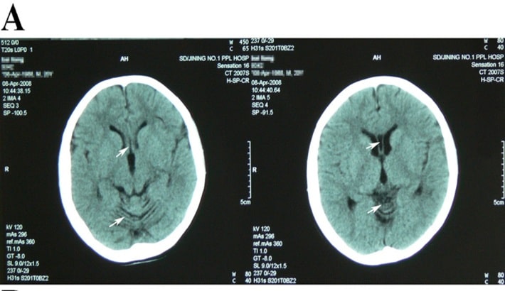
سی تی اسکن مغز برای تشخیص خونریزی مغزی (هماتوم)

سی تی اسکن مغز | خونریزی مغزی
خونریزی مغزی یا هماتوم از خطرناکترین شرایط مغزی است که نیاز به تشخیص فوری و دقیق دارد. در چنین شرایطی، سی تی اسکن مغز بهعنوان سریعترین و قابلاعتمادترین روش تصویربرداری شناخته میشود. این روش میتواند حتی کوچکترین مقدار خونریزی را در عمق بافت مغز یا اطراف آن نشان دهد؛ همچنین پزشک را در انتخاب درمان فوری یاری کند.
نقش سی تی اسکن مغز در تشخیص خونریزی
سی تی اسکن مغز با استفاده از اشعه ایکس و فناوری کامپیوتری، تصاویر دقیق و چندبعدی از بافتهای داخلی مغز تهیه میکند. در این تصاویر، نواحی دچار خونریزی بهصورت روشنتر از بافت طبیعی مغز دیده میشوند. این ویژگی کمک میکند تا نوع و محل خونریزی مغزی بهسرعت مشخص شود.
تشخیص سریع، در خونریزیهای مغزی اهمیت حیاتی دارد؛ زیرا گاهی تنها چند دقیقه تأخیر میتواند منجر به آسیب دائمی مغز شود. به همین دلیل، در اورژانسها معمولاً نخستین اقدامی که برای بیمار مشکوک به خونریزی مغزی انجام میشود، سی تی اسکن مغز بدون تزریق است.
در مرکز تصویربرداری تابا، دستگاههای چند اسلایسی پیشرفته بهکار گرفته میشوند که در چند ثانیه تمام بخشهای مغز را اسکن میکنند. این سرعت بالا برای بیماران اورژانسی بسیار ارزشمند است؛ زیرا پزشک میتواند بلافاصله نتیجه را بررسی و تصمیمگیری درمانی را آغاز کند.
انواع خونریزیهایی که در سی تی اسکن مغز قابل تشخیصاند:
سی تی اسکن مغز میتواند انواع مختلف هماتوم را از یکدیگر تفکیک کند.
هماتوم اپیدورال:
معمولاً در اثر ضربه شدید به سر ایجاد میشود و بین جمجمه و پرده بیرونی مغز تجمع خون دیده میشود.
هماتوم سابدورال:
خونریزی بین دو لایه از پردههای مغزی رخ میدهد و در تصاویر سی تی اسکن مغز به شکل ناحیهای هلالی دیده میشود.
هماتوم داخل مغزی:
در این نوع، خون درون بافت خود مغز جمع میشود. این حالت معمولاً بهدلیل فشار خون بالا یا پارگی عروق رخ میدهد.
خونریزی زیرعنکبوتیه:
در فضای بین مغز و لایههای اطراف آن اتفاق میافتد و با سی تی اسکن مغز بدون تزریق بهوضوح قابل مشاهده است.
مزیت سی تی اسکن مغز در شرایط اورژانسی
یکی از مزایای بزرگ سی تی اسکن مغز ، سرعت بالا و توانایی تشخیص فوری است. برخلاف امآرآی که زمان بیشتری میبرد، سی تی اسکن میتواند در کمتر از ده دقیقه انجام شود. این ویژگی در بیمارانی که دچار ضربه مغزی، سکته یا کاهش سطح هوشیاری هستند حیاتی است.
سی تی اسکن مغز ابزاری حیاتی برای تشخیص سریع خونریزیهای مغزی است. این روش میتواند در چند دقیقه جان بیمار را نجات دهد و مسیر درمان را مشخص کند. در مرکز تصویربرداری تابا، با بهرهگیری از دستگاههای پیشرفتهامکان تشخیص دقیق و سریع هماتومهای مغزی برای همه بیماران فراهم شده است. تشخیص زودهنگام، نخستین گام در حفظ عملکرد حیاتی مغز و پیشگیری از عوارض جدی است.
گزارش سی تی اسکن مغز را چگونه بخوانیم؟

سی تی اسکن مغز | خواندن گزارش
وقتی نتیجهی سی تی اسکن مغز را دریافت میکنیم، معمولاً با عباراتی روبهرو میشویم که برای افراد عادی پیچیده به نظر میرسند. در حالیکه اگر کمی با مفهوم هر بخش آشنا باشیم، میتوانیم تا حد زیادی بفهمیم نتیجه به چه معناست. البته تفسیر دقیق فقط باید توسط پزشک انجام شود، اما دانستن نکات پایه، به آرامش بیمار کمک زیادی میکند.
بخش اول گزارش سی تی اسکن مغز : اطلاعات کلی
در ابتدای گزارش، معمولاً اطلاعاتی مثل نام بیمار، تاریخ انجام اسکن و نوع آن (با یا بدون تزریق ماده حاجب) نوشته میشود. این بخش ساده است و فقط مشخص میکند که سی تی اسکن مغز در چه شرایطی انجام شده است.
در مرکز تصویربرداری تابا، این اطلاعات بهصورت دقیق ثبت میشود تا پزشک معالج بتواند همهچیز را با پرونده بیمار مطابقت دهد.
بخش دوم: توصیف تصاویر مغز
در این قسمت، رادیولوژیست توضیح میدهد که ساختارهای مختلف مغز در تصاویر چگونه دیده شدهاند. مثلاً ممکن است بنویسد:
- اندازه و شکل بطنهای مغز طبیعی است.
- اثری از خونریزی دیده نمیشود.
- چگالی بافتهای مغز در محدوده طبیعی است.
بخش سوم: بررسی عروق و استخوان جمجمه
سی تی اسکن مغز علاوه بر بافت مغزی، وضعیت استخوانهای جمجمه و گاهی عروق را هم نشان میدهد. اگر شکستگی، خونریزی یا توده فشاری وجود داشته باشد، در این بخش توضیح داده میشود. کارشناسان باتجربه در مرکز تصویربرداری تابا تمام تصاویر را با دقت بالا بررسی میکنند تا هیچ نکتهای از نظر دور نماند.
بخش چهارم: جمعبندی و نتیجه نهایی
در پایان گزارش، رادیولوژیست معمولاً چند جملهی خلاصه مینویسد تا پزشک معالج بهسرعت متوجه وضعیت کلی شود. اگر همه چیز طبیعی باشد، عباراتی مثل «نتیجه در محدوده طبیعی است» یا «یافته غیرطبیعی دیده نشد» ذکر میشود. اما اگر مورد خاصی وجود داشته باشد، نوع آن بهصورت ساده توضیح داده میشود تا مسیر درمان مشخص شود.
توصیه مهم برای بیماران
خواندن گزارش سی تی اسکن مغز بهتنهایی کافی نیست. تصاویر باید همیشه توسط پزشک متخصص مغز و اعصاب یا جراح مغز تفسیر شوند تا تصمیم درستی درباره درمان گرفته شود. گاهی جملهای که در گزارش طبیعی بهنظر میرسد، در کنار علائم بیمار معنی دیگری پیدا میکند.
در مرکز تصویربرداری تابا، پس از انجام سی تی اسکن مغز ، گزارشها بهصورت دقیق و با زبان قابل فهم تهیه میشوند. بیماران در صورت تمایل میتوانند با پزشک رادیولوژیست گفتوگو کنند تا توضیح کاملتری درباره نتیجهی خود دریافت کنند.
گزارش سی تی اسکن مغز در واقع نقشهای از وضعیت داخلی مغز است. هر جمله از آن نشانهای از سلامت یا تغییر در ساختار مغز محسوب میشود. آشنایی با مفهوم کلی گزارش به شما کمک میکند با آرامش بیشتری منتظر نظر نهایی پزشک باشید. در مرکز تصویربرداری تابا، هدف اصلی ارائهی تصویربرداری دقیق، گزارش شفاف و همراهی بیمار در تمام مراحل است؛ تا درنتیجه تجربهای اطمینانبخش و انسانی فراهم شود.
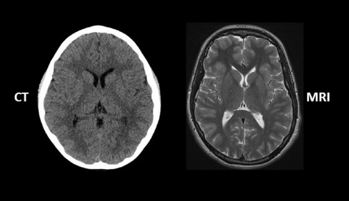
سی تی اسکن مغز دقیقتر است یا امآرآی؟ (مقایسه کامل و کاربردی)

سی تی اسکن مغز | مقایسه با ام آر آی
وقتی صحبت از بررسی دقیق مغز میشود، معمولاً دو روش اصلی در تشخیص استفاده میشود: سیتی اسکن مغز و امآرآی مغز. هر دو روش تصویربرداری پیشرفته هستند، اما در نوع نمایش بافتها، میزان دقت و کاربردهای تشخیصی تفاوت دارند. در ادامه به صورت کامل و ساده توضیح میدهیم که هرکدام چه مزایا و محدودیتهایی دارند؛ همچنین در چه شرایطی، پزشکان یکی را بر دیگری ترجیح میدهند.
تفاوت اصلی سی تی اسکن مغز و امآرآی
در سی تی اسکن مغز از پرتوهای ایکس استفاده میشود تا از زوایای مختلف از سر تصویر گرفته شود. سپس کامپیوتر این تصاویر را به صورت مقاطع سهبعدی بازسازی میکند؛ همچنین ساختار مغز، استخوان جمجمه، عروق و فضاهای پر از مایع را نشان میدهد.
اما امآرآی مغز (MRI) بر پایهی میدان مغناطیسی و امواج رادیویی کار میکند و هیچگونه اشعهای در آن استفاده نمیشود. این روش جزئیات بسیار بیشتری از بافتهای نرم مغز، مانند ماده خاکستری، سفید و حتی تومورها را نشان میدهد.
دقت سی تی اسکن مغز در برابر امآرآی
اگر بیمار دچار ضربه مغزی یا خونریزی ناگهانی در مغز شود، پزشکان معمولاً در مرحله اول از سی تی اسکن مغز استفاده میکنند. چون این روش در مدت زمان کوتاه (کمتر از ۵ دقیقه) میتواند خونریزی، شکستگی جمجمه یا وجود لخته را با دقت بالا نشان دهد. در موارد اورژانسی، سرعت سیتی اسکن مزیت اصلی است.
دقت در بررسی بافتهای نرم مغز
در مقابل، امآرآی مغز برای بررسی بافتهای داخلی و تغییرات ظریف مغزی، بسیار دقیقتر عمل میکند. مثلاً برای تشخیص:
- تومورهای کوچک مغزی
- بیماری اماس (MS)
- التهاب یا عفونتهای مغز
- مشکلات مربوط به عصب بینایی یا ساقه مغز
در این موارد، امآرآی میتواند نواحی بسیار ریز و تغییرات جزئی در بافتها را نشان دهد که در سیتی اسکن معمولاً قابل مشاهده نیستند.
مقایسه سرعت و راحتی انجام
- سی تی اسکن مغز : حدود ۵ دقیقه زمان میبرد و بیمار فقط باید چند لحظه بیحرکت بماند.
- امآرآی مغز: معمولاً ۲۰ تا ۴۵ دقیقه طول میکشد و نیاز به بیحرکتی طولانیتری دارد.
بنابراین اگر بیمار دچار بیقراری، درد یا وضعیت اورژانسی باشد، سی تی اسکن گزینه بهتری است.
ایمنی و میزان اشعه
سی تی اسکن از اشعه ایکس استفاده میکند، در نتیجه مقدار کمی پرتو وارد بدن میشود. اگرچه این میزان در حد مجاز و ایمن است، اما انجام مکرر آن به ویژه در کودکان یا زنان باردار توصیه نمیشود.
در مقابل، امآرآی هیچ اشعهای ندارد و برای افراد در همه سنین، حتی خانمهای باردار (در شرایط خاص) بیخطرتر است. به همین دلیل، برای بررسیهای طولانیمدت یا پیگیری درمان تومورها، معمولاً امآرآی ترجیح داده میشود.
تفاوت در کاربردهای تشخیصی
سی تی اسکن مغز معمولاً برای موارد زیر انجام میشود:
- بررسی ضربه مغزی و شکستگی جمجمه
- تشخیص خونریزی یا لخته مغزی
- بررسی ورم یا عفونت مغز (آبسه)
- ارزیابی قبل از جراحیهای مغز و جمجمه
امآرآی مغز بیشتر در موارد زیر کاربرد دارد:
- تشخیص تومورهای مغزی کوچک یا عمقی
- بررسی بیماری اماس و التهابات عصبی
- ارزیابی اختلالات بینایی، شنوایی یا تعادل
- بررسی آسیبهای عصبی طولانیمدت یا تغییرات شناختی
هزینه و در دسترس بودن
در بسیاری از مراکز تصویربرداری، سی تی اسکن مغز هزینهی کمتری نسبت به امآرآی دارد و سریعتر انجام میشود.
اما امآرآی به دلیل تکنولوژی پیشرفتهتر، معمولاً گرانتر و کمتر در دسترس است. با این حال، در مرکز تصویربرداری تابا هر دو روش با دستگاههای پیشرفته انجام میشود؛ درنتیجه در این حالت پزشک متخصص تشخیص میدهد کدام روش برای بیمار مناسبتر است.
در نهایت در پاسخ به این سؤال که سی تی اسکن مغز دقیقتر است یا امآرآی؟  باید گفت هیچکدام بهتنهایی برتر مطلق نیستند.
هرکدام برای هدف خاصی طراحی شدهاند؛ اگر نیاز به تشخیص فوری خونریزی یا شکستگی دارید، سی تی اسکن مغز بهترین گزینه است.
اگر پزشک به دنبال بررسی دقیق بافتهای مغزی، تومور یا بیماری عصبی باشد؛ امآرآی مغز انتخاب دقیقتری است. در نهایت، تصمیم نهایی باید توسط پزشک و بر اساس شرایط بیمار گرفته شود.
در مرکز تابا، امکان انجام هر دو روش با کیفیت بالا و تفسیر تخصصی نتایج وجود دارد تا تشخیصها با حداکثر دقت انجام شوند.
سی تی اسکن مغز در بارداری؛ خطرات، احتیاطها و روشهای جایگزین

سی تی اسکن مغز | بارداری
انجام سی تی اسکن مغز در دوران بارداری یکی از دغدغههای مهم مادران است. بسیاری از خانمهای باردار زمانی که پزشک انجام این آزمایش را توصیه میکند، نگران اثرات احتمالی آن بر جنین میشوند. واقعیت این است که سی تی اسکن در شرایط خاص ممکن است ضروری باشد، اما نیازمند دقت و تصمیمگیری درست است. در ادامه این مطلب، به زبان ساده توضیح میدهیم که سی تی اسکن مغز در بارداری چقدر خطرناک است؟ چه زمانی انجام میشود؟ و چه روشهایی میتواند جایگزین آن باشد؟
آیا سی تی اسکن مغز در دوران بارداری خطرناک است؟
سی تی اسکن مغز با استفاده از اشعه ایکس (X-ray) انجام میشود. این اشعه در مقادیر زیاد میتواند بر سلولهای در حال رشد جنین تأثیر بگذارد. اما نکته مهم اینجاست که در سی تی اسکن مغز ، اشعه فقط روی ناحیهی سر متمرکز میشود؛ درنتیجه شکم یا رحم در معرض مستقیم تابش قرار نمیگیرد.
بنابراین، در بیشتر موارد، خطر سی تی اسکن مغز برای جنین بسیار کم است؛ بهویژه اگر از محافظهای سربی برای پوشاندن شکم استفاده شود. با این حال، پزشکان سعی میکنند انجام این تصویربرداری را فقط زمانی تجویز کنند که واقعاً ضروری باشد.
چه زمانی انجام سی تی اسکن مغز در بارداری ضروری است؟
در شرایط اضطراری، حفظ جان مادر اولویت اصلی است. گاهی پزشک مجبور میشود برای تشخیص دقیق، از سی تی اسکن مغز استفاده کند. مواردی که ممکن است انجام آن در بارداری ضروری باشد شامل موارد زیر است:
- ضربه شدید به سر یا تصادف
- سردردهای شدید و ناگهانی همراه با تهوع یا تاری دید
- احتمال خونریزی یا سکته مغزی
- از دست دادن هوشیاری یا تشنج بدون علت مشخص
- مشکوک بودن به تومور مغزی یا عفونتهای خطرناک
در چنین مواقعی، تأخیر در تشخیص میتواند برای مادر و جنین خطرناکتر از انجام سی تی اسکن باشد.
میزان اشعه در سی تی اسکن مغز چقدر است؟
برای اینکه خیال مادران راحتتر شود، باید دانست که میزان اشعهای که در سی تی اسکن مغز وارد بدن میشود؛ بسیار پایینتر از حدی است که بتواند به جنین آسیب بزند.
در واقع، اشعه مستقیماً به شکم نمیرسد و تنها مقدار ناچیزی از آن ممکن است از بافتهای بدن عبور کند. پزشکان و تکنسینهای مرکز تصویربرداری تابا همیشه از پوششهای محافظ سربی استفاده میکنند تا از هرگونه احتمال خطر جلوگیری شود.
نکات ایمنی پیش از انجام سی تی اسکن در بارداری
اگر باردار هستید یا احتمال بارداری میدهید؛ حتماً پیش از انجام هر نوع تصویربرداری، حتی سی تی اسکن مغز ، موضوع را به پزشک و پرسنل مرکز اطلاع دهید. در این صورت اقدامات محافظتی زیر انجام میشود:
- استفاده از پیشبند سربی روی شکم و لگن برای جلوگیری از نفوذ اشعه.
- تنظیم شدت تابش اشعه روی حداقل مقدار ممکن.
- انتخاب روشهای جایگزین در صورت امکان، مثلاً امآرآی یا سونوگرافی.
- تفسیر فوری نتایج برای جلوگیری از تکرار تصویربرداری.
در مرکز تصویربرداری تابا، این موارد با دقت کامل رعایت میشود تا مادران با خیال آسودهتری بتوانند از خدمات تصویربرداری استفاده کنند.
روشهای جایگزین سی تی اسکن مغز در بارداری
اگر وضعیت مادر اورژانسی نباشد، پزشک معمولاً ترجیح میدهد از روشهای بدون اشعه استفاده کند. مهمترین جایگزینها عبارتاند از:
۱. امآرآی مغز (MRI)
امآرآی مغز از میدان مغناطیسی استفاده میکند و هیچ اشعهای ندارد. این روش برای بررسی تومور، التهاب یا سکته مغزی کاملاً ایمن است. تنها در موارد نادر، اگر از ماده حاجب استفاده شود، باید با احتیاط انجام شود، چون برخی مواد حاجب برای بارداری توصیه نمیشوند.
۲. سونوگرافی داپلر عروق مغز
در برخی موارد، برای بررسی جریان خون در عروق مغزی میتوان از سونوگرافی داپلر استفاده کرد. البته این روش محدودیتهایی دارد و به اندازه سی تی یا امآرآی دقیق نیست، اما کاملاً بیخطر است.
۳. بررسیهای بالینی و آزمایشگاهی
در بعضی از سردردها یا مشکلات عصبی، پزشک میتواند از آزمایش خون یا بررسیهای عصبی برای تشخیص اولیه استفاده کند؛ همچنین در صورت نیاز، تصویربرداری را به بعد از زایمان موکول کند.
چه زمانی نباید سی تی اسکن در بارداری انجام شود؟
اگر مشکل بیمار اورژانسی نباشد و امکان تشخیص با روشهای دیگر وجود داشته باشد؛ بهتر است سی تی اسکن تا پایان بارداری به تعویق بیفتد. بهویژه در سهماهه اول بارداری، زمانی که اندامهای اصلی جنین در حال شکلگیری هستند؛ انجام هر نوع تصویربرداری با اشعه باید فقط با نظر مستقیم پزشک متخصص انجام شود.
در پاسخ به پرسش «آیا سی تی اسکن مغز در بارداری خطرناک است؟» باید گفت که در شرایط عادی انجام آن توصیه نمیشود؛ اما اگر جان یا سلامت مادر در خطر باشد، انجام سی تی اسکن مغز با رعایت نکات ایمنی میتواند کاملاً بیخطر باشد.
پزشکان همیشه تلاش میکنند ابتدا از روشهای جایگزین مانند امآرآی یا سونوگرافی استفاده کنند؛ اما در موارد اورژانسی، سی تی اسکن مغز بهترین و سریعترین ابزار تشخیص است.
در مرکز تصویربرداری تابا، تمام اقدامات لازم برای تصویربرداری ایمن مادران باردار انجام میشود تا سلامت مادر و جنین در اولویت قرار گیرد.