سی تی اسکن شکم چه بیماریهایی را نشان میدهد؟

سی تی اسکن شکم | بیماریها
سی تی اسکن شکم یکی از دقیقترین روشهای تصویربرداری پزشکی است؛ این روش به کمک اشعه ایکس و فناوری پیشرفته، تصویرهای مقطعی بسیار واضحی از اندامهای داخلی شکم به دست میدهد. این روش، در تشخیص بیماریهای گوارشی، کلیوی، کبدی و حتی برخی تومورها نقشی بسیار مؤثر دارد.
در مرکز تصویربرداری پزشکی تابا، انجام سی تی اسکن شکم و لگن بدون تزریق با جدیدترین دستگاههای چند برشی انجام میشود؛ تا درنتیجه کوچکترین تغییرات بافتی نیز با دقت بالا بررسی شوند.
کاربرد سی تی اسکن شکم در تشخیص بیماریهای گوارشی
بسیاری از بیماریهای معده و روده با علائمی مانند درد، نفخ یا تهوع ظاهر میشوند؛ اما منشأ دقیق آنها تنها از طریق سی تی اسکن شکم مشخص میشود.
تشخیص التهاب و عفونتهای گوارشی
سی تی اسکن شکم قادر است التهاب دیواره معده یا روده، عفونتهای مزمن و حتی وجود آبسه را بهوضوح نشان دهد. پزشک از این طریق میتواند منبع دقیق عفونت را تشخیص دهد و درمان مناسبتری تجویز کند.
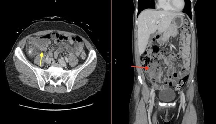
بررسی آپاندیسیت و انسداد روده
یکی از پرکاربردترین موارد سی تی اسکن شکم و لگن بدون تزریق، بررسی آپاندیسیت است. در مواردی که بیمار با درد شدید پایین شکم مراجعه میکند؛ این روش با سرعت بالا وضعیت آپاندیس و رودهها را مشخص میکند.
نقش سی تی اسکن شکم در ارزیابی کبد، طحال و پانکراس
اندامهای حیاتی مانند کبد و طحال، معمولاً تا زمان بروز علائم شدید، تغییرات داخلی خود را نشان نمیدهند. در چنین شرایطی، سی تی اسکن شکم کمک بزرگی به تشخیص زودهنگام میکند.
تشخیص تومور و کیستهای کبدی
سی تی اسکن شکم میتواند وجود تودههای خوشخیم یا بدخیم در بافت کبد را با دقت بالا نشان دهد. در مرکز تابا، پزشکان از سی تی اسکن شکم و لگن بدون تزریق برای ارزیابی دقیق شکل، اندازه و محل ضایعات استفاده میکنند.
بررسی عملکرد طحال و التهاب پانکراس
اختلال در عملکرد طحال یا پانکراس میتواند باعث درد یا ورم در قسمت فوقانی شکم شود. در چنین مواردی، سی تی اسکن شکم و لگن به تشخیص التهاب پانکراس (پانکراتیت) و بررسی اندازه طبیعی طحال کمک میکند.
تشخیص بیماریهای کلیوی و مجاری ادراری با سی تی اسکن شکم
بیماریهای کلیوی و اختلال در مجاری ادراری از دیگر مواردی هستند که با سی تی اسکن شکم بهوضوح قابل مشاهدهاند.
تشخیص سنگ کلیه و انسداد مجاری
سی تی اسکن شکم بدون تزریق یکی از بهترین روشها برای شناسایی سنگ کلیه است. در این روش حتی کوچکترین سنگهای مجاری ادرار نیز قابل مشاهدهاند. مرکز تصویربرداری تابا با استفاده از دستگاههای کمدوز، امکان انجام سی تی اسکن شکم با حداقل میزان اشعه را فراهم کرده است.
تشخیص عفونتهای کلیوی
گاهی تب و درد پهلو نشانه عفونت کلیه است. سی تی اسکن شکم و لگن بدون تزریق میتواند میزان التهاب، وجود چرک یا انسداد را مشخص کند؛ درنتیجه به پزشک در انتخاب درمان مناسب کمک نماید.
نقش سی تی اسکن شکم در تشخیص تومورها و سرطانها

سی تی اسکن شکم | تشخیص تومورها و سرطانها
سی تی اسکن شکم تنها برای بررسی درد یا التهاب نیست، بلکه در شناسایی بسیاری از تومورها نیز نقش حیاتی دارد.
شناسایی تومورهای دستگاه گوارش
تومورهای روده، معده یا کبد با استفاده از سی تی اسکن شکم در مراحل اولیه شناسایی میشوند. دقت بالای این روش باعث میشود پزشک بتواند محل دقیق توده و میزان درگیری بافتها را تشخیص دهد.
بررسی گسترش متاستاز در لگن و نواحی اطراف
در مواردی که بیمار دچار سرطانهای پیشرفته است؛ سی تی اسکن شکم و لگن بدون تزریق برای بررسی گسترش سلولهای سرطانی در اندامهای اطراف بهکار میرود. مرکز تابا در چنین مواردی از تصاویر سهبعدی و بازسازی دیجیتالی برای ارزیابی کامل وضعیت بیمار استفاده میکند.
سایر کاربردهای مهم سی تی اسکن شکم و لگن
فراتر از تشخیص بیماریها، سی تی اسکن شکم کاربردهای گستردهتری نیز دارد؛ این روش باعث شده این روش در بسیاری از تخصصهای پزشکی مورد استفاده قرار گیرد.
بررسی آسیبهای ناشی از تصادف یا ضربه
در بیماران دچار تصادف یا ضربه شدید، سی تی اسکن شکم میتواند خونریزیهای داخلی یا پارگی اندامها را با دقت بالا مشخص کند. این ویژگی، سرعت تشخیص و تصمیمگیری پزشک را بهطور چشمگیری افزایش میدهد.
پیگیری روند درمان پس از جراحی
پس از برخی جراحیهای شکمی یا لگنی، پزشک برای بررسی وضعیت ترمیم بافتها و نبود عفونت از سی تی اسکن شکم استفاده میکند. در مرکز تابا، تمامی این بررسیها تحت نظر متخصصان رادیولوژی با تجربه انجام میشود تا نتایج کاملاً دقیق باشند.
سی تی اسکن شکم و لگن بدون تزریق ، ابزاری قدرتمند برای تشخیص طیف وسیعی از بیماریهاست؛ از التهابهای ساده تا تشخیص تومورهای پیچیده. این روش با ارائه تصاویری واضح از اندامهای داخلی، به پزشک کمک میکند تا مسیر درمان را با اطمینان بیشتری انتخاب کند.
مرکز تابا با بهرهگیری از فناوری روز دنیا، انجام سی تی اسکن شکم را با کمترین میزان اشعه و بیشترین دقت ممکن ارائه میدهد. در صورتی که پزشک انجام این تصویربرداری را برایتان تجویز کرده است؛ میتوانید با خیالی آسوده به تابا مراجعه کنید و از خدمات تخصصی آن بهرهمند شوید.
آمادگیهای لازم قبل از سی تی اسکن شکم و لگن

سی تی اسکن شکم | آمادگیهای لازم
سی تی اسکن شکم یکی از روشهای دقیق و پیشرفته تصویربرداری است که به پزشک کمک میکند؛ تا درنتیجه وضعیت اندامهای داخلی مانند کبد، کلیه، روده و طحال را با جزئیات کامل مشاهده کند. رعایت نکات آمادگی قبل از انجام این تصویربرداری، تأثیر زیادی بر دقت نتایج دارد.
در مرکز تصویربرداری پزشکی تابا، پیش از انجام سی تی اسکن شکم و لگن بدون تزریق، تمامی نکات لازم به بیمار توضیح داده میشود؛ تا نتیجه بررسیها کاملاً دقیق و قابل اعتماد باشد.
چرا آمادگی قبل از سی تی اسکن شکم اهمیت دارد؟
بسیاری از بیماران تصور میکنند سی تی اسکن شکم مانند سونوگرافی ساده است؛ اما در واقع، آماده بودن بدن و دستگاه گوارش نقش مهمی در کیفیت تصاویر دارد.
افزایش دقت در نمایش اندامها
وقتی معده و رودهها خالی باشند، اشعههای سی تی اسکن راحتتر از بافتها عبور کرده و تصویر واضحتری ارائه میدهند. در غیر این صورت، وجود گاز یا مواد غذایی ممکن است مانع شفافیت تصویر شود.
کاهش احتمال تداخل در نتایج
در سی تی اسکن شکم و لگن بدون تزریق ، حتی مقدار کمی از غذا یا نوشیدنی میتواند باعث تغییر رنگ یا شکل در تصاویر شود؛ در نتیجه تشخیص پزشک را دشوار کند. به همین دلیل رعایت ناشتایی پیش از انجام اسکن ضروری است.
اقدامات لازم قبل از انجام سی تی اسکن شکم و لگن
آمادهسازی بدن و آگاهی از محدودیتها، باعث میشود روند انجام سی تی اسکن سریعتر، دقیقتر و بدون خطا انجام شود.
ناشتایی و رژیم غذایی پیش از اسکن
بهطور معمول توصیه میشود بیمار ۴ تا ۶ ساعت پیش از انجام سی تی اسکن شکم ناشتا باشد. این کار به خالی شدن معده و روده کمک میکند. در مرکز تابا، این مورد توسط کارشناس مربوطه بهصورت شخصیسازیشده برای هر بیمار توضیح داده میشود.
مصرف یا قطع داروها
برخی داروها ممکن است بر نتیجه سی تی اسکن شکم تأثیر بگذارند. پزشک معمولاً قبل از انجام سی تی اسکن، مصرف داروهای خاص مانند متفورمین یا داروهای کلیوی را محدود میکند. در صورت داشتن بیماری مزمن، بیمار باید حتماً فهرست داروهای مصرفی خود را به پزشک اطلاع دهد.
آمادگیهای ویژه برای سی تی اسکن شکم و لگن بدون تزریق
در نوع بدون تزریق، نیازی به استفاده از مواد حاجب نیست؛ اما رعایت برخی نکات همچنان ضروری است تا تصاویر با کیفیت بالا به دست آیند.
پوشش و وسایل شخصی
در زمان مراجعه برای سی تی اسکن شکم و لگن، بهتر است لباسهای راحت و بدون زیپ یا دکمه فلزی بپوشید. وجود فلز در اطراف شکم ممکن است باعث ایجاد سایه و اختلال در تصویر شود. مرکز تصویربرداری تابا برای راحتی بیماران، لباس مخصوص تصویربرداری در اختیار مراجعین قرار میدهد.
تخلیه مثانه قبل از تصویربرداری
اگرچه در برخی موارد پزشک درخواست میکند مثانه نیمهپر باشد؛ اما معمولاً در سی تی اسکن شکم و لگن بدون تزریق بهتر است پیش از تصویربرداری، مثانه تخلیه شود؛ تا درنتیجه نواحی لگنی واضحتر دیده شوند.
موارد خاص قبل از سی تی اسکن شکم در بیماران باردار و دیابتی

سی تی اسکن شکم | بیماران باردار و دیابتی
برخی از بیماران شرایط ویژهای دارند که نیازمند آمادگی خاص قبل از انجام سی تی اسکن شکم هستند.
احتیاط در دوران بارداری
زنان باردار باید پیش از انجام سی تی اسکن شکم ، حتماً وضعیت خود را به پزشک اطلاع دهند. در مرکز تابا، در صورت لزوم از روشهای جایگزین مانند سونوگرافی یا MRI استفاده میشود تا از سلامت جنین محافظت شود.
بیماران دیابتی یا دارای نارسایی کلیه
افرادی که به دیابت یا مشکلات کلیوی مبتلا هستند، باید حتماً پزشک را در جریان داروهای مصرفی خود قرار دهند. در مرکز تابا، پیش از انجام سی تی اسکن شکم ، وضعیت قند و عملکرد کلیهها در این بیماران بررسی میشود تا ایمنی کامل رعایت گردد.
توصیههای روز انجام سی تی اسکن شکم و لگن
برای آنکه تصویربرداری دقیق و بدون مشکل انجام شود، رعایت چند نکته ساده در روز انجام سی تی اسکن اهمیت زیادی دارد.
آرامش و تنفس منظم در حین تصویربرداری
در طول انجام سی تی اسکن شکم ، دستگاه از شما میخواهد چند ثانیه نفس خود را حبس کنید. این کار به واضحتر شدن تصویر کمک میکند. متخصصان تابا در تمام مراحل در کنار بیمار حضور دارند و راهنمایی لازم را ارائه میدهند.
حضور بهموقع در مرکز
بهتر است حداقل ۳۰ دقیقه زودتر از زمان تعیینشده در مرکز تصویربرداری تابا حضور داشته باشید؛ تا درنتیجه مراحل آمادهسازی، ثبت اطلاعات و توضیحات لازم با آرامش انجام شود.
آمادگی صحیح قبل از انجام سی تی اسکن شکم و لگن بدون تزریق، نقش مهمی در کیفیت و دقت نتایج دارد. رعایت ناشتایی، آگاهی از داروهای مصرفی، و انتخاب مرکز معتبر از مهمترین عوامل موفقیت در این تصویربرداری هستند.
در مرکز تصویربرداری پزشکی تابا، تمام مراحل انجام سی تی اسکن شکم زیر نظر متخصصان رادیولوژی با دستگاههای پیشرفته انجام میشود. اگر پزشک برای شما این نوع تصویربرداری را تجویز کرده است؛ میتوانید با اطمینان از دقت، کیفیت و رعایت کامل اصول ایمنی، به تابا مراجعه کنید.
سی تی اسکن شکم برای سنگ کلیه؛ دقت، کاربرد و نکات مهم

سی تی اسکن شکم | سنگ کلیه
سنگ کلیه یکی از دردناکترین بیماریهای دستگاه ادراری است که تشخیص دقیق و بهموقع آن اهمیت زیادی دارد. در میان روشهای تصویربرداری مختلف، سی تی اسکن شکم از دقیقترین ابزارها برای شناسایی سنگ کلیه به شمار میآیند.
در مرکز تصویربرداری پزشکی تابا، این نوع سی تی اسکن با دستگاههای پیشرفته و کمدوز انجام میشود؛ تا درنتیجه علاوه بر تشخیص سریع، بیمار کمترین میزان اشعه را دریافت کند.
چرا از سی تی اسکن شکم برای تشخیص سنگ کلیه استفاده میشود؟
تشخیص سنگ کلیه در مراحل اولیه میتواند از دردهای شدید، عفونتهای ادراری و آسیب به کلیه جلوگیری کند. سی تی اسکن شکم این توانایی را دارد که حتی سنگهای بسیار کوچک را در هر نقطه از دستگاه ادراری شناسایی کند.
دقت بالای سی تی اسکن شکم در تشخیص سنگ کلیه
در حالی که سونوگرافی یا عکس ساده گاهی قادر به تشخیص سنگهای ریز نیستند؛ سی تی اسکن شکم میتواند سنگهایی با اندازه کمتر از ۲ میلیمتر را نیز به وضوح نشان دهد. این دقت بالا کمک میکند تا پزشک محل دقیق سنگ، تعداد و اندازه آن را بهدرستی ارزیابی کند.
مزیت تصویربرداری بدون تزریق
در بسیاری از موارد، سی تی اسکن شکم و لگن بدون تزریق برای بررسی سنگ کلیه کافی است. این نوع تصویربرداری بدون نیاز به ماده حاجب انجام میشود و برای بیماران دارای حساسیت یا نارسایی کلیه کاملاً ایمن است.
روند انجام سی تی اسکن شکم برای سنگ کلیه
بیماران معمولاً برای تشخیص علت درد پهلو، سوزش ادرار یا خون در ادرار به پزشک مراجعه میکنند؛ درنتیجه در این شرایط، پزشک درخواست سی تی اسکن شکم میدهد.
نحوه انجام تصویربرداری
در مرکز تابا، بیمار روی تخت دستگاه دراز میکشد؛ سپس دستگاه بهآرامی از روی بدن عبور میکند تا از نواحی مختلف شکم و لگن تصویر تهیه شود. این فرایند معمولاً کمتر از ۱۰ دقیقه طول میکشد و هیچ دردی ندارد.
آمادگی قبل از انجام سی تی اسکن شکم
برای انجام سی تی اسکن شکم و لگن بدون تزریق نیازی به تزریق ماده حاجب نیست. با این حال، بیمار باید چند ساعت قبل از تصویربرداری ناشتا باشد تا تصاویر واضحتر به دست آیند. در مرکز تصویربرداری تابا، کارشناسان قبل از شروع، تمام مراحل را به بیمار توضیح میدهند.
کاربردهای سی تی اسکن شکم در درمان و پیگیری سنگ کلیه
سی تی اسکن شکم تنها برای تشخیص اولیه به کار نمیرود، بلکه در پیگیری روند درمان نیز اهمیت زیادی دارد.
بررسی اندازه و محل دقیق سنگها
پزشک با استفاده از تصاویر سی تی اسکن شکم ، محل دقیق سنگها را در کلیه یا مجاری ادراری مشخص میکند. این اطلاعات به انتخاب روش درمانی مناسب (مثل دارو، لیتوتریپسی یا جراحی) کمک میکند.
ارزیابی اثربخشی درمان
پس از دفع سنگ یا انجام عمل جراحی، پزشک ممکن است مجدداً سی تی اسکن شکم و لگن بدون تزریق درخواست دهد؛ تا درنتیجه اطمینان حاصل کند که سنگها بهطور کامل از بدن خارج شدهاند. مرکز تابا با دستگاههای نسل جدید این بررسیها را با دقت بالا انجام میدهد.
مزایا و محدودیتهای سی تی اسکن شکم در تشخیص سنگ کلیه
اگرچه سی تی اسکن شکم دقیقترین روش تشخیص سنگ کلیه است؛ اما شناخت مزایا و محدودیتهای آن به بیمار کمک میکند تا با آگاهی بیشتری اقدام کند.
مزایای سی تی اسکن شکم برای سنگ کلیه
- تشخیص سنگ در هر نقطه از دستگاه ادراری
- امکان مشاهده سنگهای بسیار ریز
- سرعت بالا در تهیه تصاویر
- عدم نیاز به بستری شدن
- امکان استفاده برای بیماران دارای علائم نامشخص
محدودیتهای احتمالی
در برخی موارد نادر، بیماران باردار یا افرادی که بهتازگی تصویربرداریهای متعدد داشتهاند؛ ممکن است نیاز به بررسیهای جایگزین مانند MRI داشته باشند. در مرکز تابا، پزشک متخصص پیش از انجام سی تی اسکن شکم ، شرایط بیمار را بهطور کامل ارزیابی میکند.
نکات مهم برای بیماران پیش از انجام سی تی اسکن شکم و لگن بدون تزریق
آمادگی مناسب قبل از انجام سی تی اسکن شکم ، نقش زیادی در کیفیت تصاویر دارد.
اطلاع از وضعیت سلامت
افرادی که از بیماری کلیوی، دیابت یا سابقه حساسیت دارویی برخوردارند؛ باید این موارد را پیش از انجام اسکن به پزشک اطلاع دهند. کارشناسان تابا قبل از تصویربرداری، وضعیت عمومی بیمار را بررسی میکنند.
پوشش و وسایل فلزی
در هنگام انجام سی تی اسکن شکم ، باید از لباسهای راحت و بدون زیپ استفاده شود. وجود اشیای فلزی ممکن است باعث اختلال در تصویر شود. در مرکز تابا لباس مخصوص برای بیماران در نظر گرفته شده است.
سی تی اسکن شکم و لگن بدون تزریق، یکی از دقیقترین و سریعترین روشهای تشخیص سنگ کلیه است؛ این روش در مراحل اولیه بیماری، به پزشک کمک میکند تا بهترین تصمیم درمانی را اتخاذ کند. این روش، بدون درد، بدون نیاز به بستری و با دقت بالا انجام میشود. اگر پزشک برای بررسی سنگ کلیه انجام سی تی اسکن را توصیه کرده است؛ میتوانید با اطمینان خاطر به مرکز تابا مراجعه کنید و از خدمات تخصصی و دقیق این مرکز بهرهمند شوید.
سی تی اسکن شکم و لگن برای بررسی آپاندیسیت

سی تی اسکن شکم | بررسی آپاندیسیت
وقتی صحبت از تشخیص سریع و دقیق آپاندیسیت میشود، یکی از مطمئنترین روشها سی تی اسکن شکم و لگن است. این روش تصویربرداری پیشرفته میتواند با جزئیات بالا، وضعیت آپاندیس، رودهها و اندامهای اطراف را نشان دهد.
تشخیص آپاندیسیت با سی تی اسکن شکم و لگن
در مراحل اولیه آپاندیسیت، علائم میتوانند شبیه مشکلات گوارشی دیگر باشند. در چنین شرایطی، پزشک معمولاً سی تی اسکن شکم و لگن بدون تزریق یا با تزریق را برای بررسی دقیقتر تجویز میکند. این اسکن میتواند حتی التهابهای جزئی دیواره آپاندیس، وجود عفونت یا پارگی احتمالی را با دقت بالا مشخص کند.
در مرکز تصویربرداری تابا، این نوع سیتیاسکن با دستگاههای نسل جدید انجام میشود تا تصاویر واضحتر و با دوز پایینتر اشعه گرفته شود. این موضوع برای بیماران جوان یا افراد حساس اهمیت زیادی دارد.
سی تی اسکن شکم و لگن بدون تزریق برای آپاندیسیت
در برخی موارد، پزشک ممکن است سی تی اسکن شکم و لگن بدون تزریق را انتخاب کند؛ بهویژه زمانی که بیمار به مواد حاجب حساسیت دارد یا عملکرد کلیهها مناسب نیست. در این نوع اسکن نیز ساختارهای داخلی شکم و لگن با دقت قابلقبولی نمایش داده میشوند و امکان تشخیص آپاندیسیت وجود دارد.
مراحل انجام سی تی اسکن شکم و لگن بدون تزریق

سی تی اسکن شکم | مراحل انجام
ابتدا از بیمار خواسته میشود چند ساعت ناشتا باشد تا رودهها تمیزتر و تصاویر واضحتر شوند. سپس در حین تصویربرداری، بیمار روی تخت دراز میکشد و دستگاه از زوایای مختلف تصویر میگیرد. کل فرایند معمولاً کمتر از ده دقیقه طول میکشد.
تشخیص آپاندیسیت در مراحل اولیه
سی تی اسکن شکم و لگن میتواند کوچکترین التهاب در دیواره آپاندیس را نشان دهد. این دقت بالا، باعث تشخیص زودهنگام و جلوگیری از پارگی یا عفونت گسترده در شکم میشود. در مواردی که علائم مبهم هستند، این روش تصویر واضحی از وضعیت اندامها ارائه میدهد و احتمال تشخیص اشتباه را کاهش میدهد.
مزایای انجام سی تی اسکن شکم در مرکز تابا
در مرکز تصویربرداری تابا، از دستگاههای بهروز و تکنولوژیهای پیشرفته برای انجام سی تی اسکن استفاده میشود. این مرکز با حضور متخصصان رادیولوژی با تجربه، امکان تشخیص دقیق آپاندیسیت، سنگ کلیه یا سایر التهابهای شکمی را فراهم میکند. علاوه بر این، بیماران در محیطی آرام، بدون انتظار طولانی و با رعایت اصول ایمنی، خدمات تصویربرداری خود را دریافت میکنند.
اهمیت تشخیص سریع آپاندیسیت
تشخیص دیرهنگام آپاندیسیت میتواند منجر به پارگی و پخش عفونت در حفره شکم شود. به همین دلیل، مراجعه سریع به مراکز تصویربرداری معتبر مانند تابا میتواند از بروز عوارض جدی جلوگیری کند. پزشکان بر اساس نتیجه سی تی اسکن، تصمیم میگیرند که آیا بیمار نیاز به جراحی فوری دارد یا خیر.
سی تی اسکن شکم برای تشخیص بیماریهای مشابه
در بسیاری از موارد، درد پایین شکم ممکن است به دلایل دیگری مانند عفونت مثانه، کیست تخمدان یا مشکلات گوارشی باشد. سی تی اسکن شکم و لگن به پزشک کمک میکند این بیماریها را از هم تشخیص دهد و علت اصلی درد را مشخص کند. این دقت در تشخیص، از درمانهای غیرضروری یا اشتباه جلوگیری میکند.
سی تی اسکن شکم و لگن یکی از مؤثرترین روشها برای تشخیص سریع و دقیق آپاندیسیت است. چه بهصورت بدون تزریق انجام شود و چه با تزریق ماده حاجب، در هر دو حالت اطلاعات ارزشمندی به پزشک ارائه میدهد. مرکز تصویربرداری تابا با استفاده از دستگاههای پیشرفته و تیم حرفهای، خدمات سیتیاسکن را با بالاترین دقت و کمترین میزان اشعه ارائه میدهد؛ تا درنتیجه بیماران در کوتاهترین زمان، به تشخیص دقیق و درمان مناسب دست یابند.
آیا انجام سی تی اسکن شکم در بارداری خطرناک است؟

سی تی اسکن شکم | سی تی اسکن در بارداری
یکی از پرسشهای رایج در دوران بارداری، نگرانی از انجام سی تی اسکن شکم است. بسیاری از مادران باردار نگراناند که این روش تصویربرداری ممکن است بر جنین تأثیر منفی بگذارد. برای پاسخ به این سؤال باید چند نکته تخصصی را درباره ماهیت سی تی اسکن شکم و لگن بدون تزریق یا با تزریق بدانیم.
اشعه سی تی اسکن و اثر آن بر جنین
سی تی اسکن بر پایه تابش مقدار کنترلشدهای از اشعه ایکس انجام میشود. این اشعه برای بزرگسالان بیخطر است؛ اما در دوران بارداری، بهخصوص در سهماهه اول، ممکن است نگرانیهایی درباره تأثیر احتمالی آن بر رشد سلولی جنین وجود داشته باشد.
با این حال، مقدار اشعهای که در سی تی اسکن شکم استفاده میشود؛ در بیشتر موارد بسیار کمتر از حدی است که بتواند باعث آسیب شود. پزشک متخصص رادیولوژی همیشه قبل از انجام اسکن، میزان اشعه را با وضعیت بیمار تنظیم میکند تا خطری برای مادر یا جنین ایجاد نشود.
در مرکز تصویربرداری تابا، تمام دستگاههای سی تی اسکن دارای سیستم دوز کنترل هستند؛ تا درنتیجه کمترین میزان اشعه ممکن در تصویربرداری از بیماران باردار بهکار رود.
چه زمانی انجام سی تی اسکن شکم در بارداری ضروری است؟
در شرایط خاصی، ممکن است پزشک با وجود بارداری، انجام سی تی اسکن شکم و لگن را تجویز کند؛ بهویژه زمانی که خطر عدم تشخیص بیماری برای مادر بیشتر از خطر احتمالی اشعه باشد. برای مثال، در موارد زیر انجام سی تی اسکن میتواند حیاتی باشد:
- درد شدید شکم با احتمال آپاندیسیت یا پارگی روده
- خونریزی داخلی یا آسیب ناشی از تصادف
- بررسی سنگ کلیه در مراحل حاد
- تشخیص تومور یا عفونتهای شکمی خطرناک
در چنین شرایطی، پزشک معمولاً از سی تی اسکن شکم و لگن بدون تزریق استفاده میکند تا از مصرف مواد حاجب نیز جلوگیری شود.
سی تی اسکن شکم بدون تزریق در بارداری
استفاده از ماده حاجب در دوران بارداری توصیه نمیشود، زیرا هنوز مطالعات قطعی در مورد بیضرر بودن آن وجود ندارد. بنابراین، در بیشتر موارد، اگر نیاز به تصویربرداری وجود داشته باشد، سی تی اسکن شکم بدون تزریق انتخاب ایمنتری است.
در این روش، تصاویر با استفاده از اشعه کم و بدون هیچ ماده خارجی تهیه میشوند تا خطرات احتمالی به حداقل برسد.
نکات ایمنی قبل از انجام سی تی اسکن در بارداری
قبل از انجام اسکن، بیمار باید حتماً بارداری خود را به پزشک یا تکنسین اطلاع دهد. در مرکز تصویربرداری تابا، برای خانمهای باردار از پوششهای محافظ مخصوص استفاده میشود تا شکم و لگن از تابش مستقیم در امان بماند.
در صورت امکان، ممکن است پزشک روشهای جایگزین مثل سونوگرافی یا MRI بدون تزریق را پیشنهاد دهد که فاقد اشعه هستند.
روشهای جایگزین سی تی اسکن در دوران بارداری
در بسیاری از موارد، سونوگرافی شکم و لگن میتواند اطلاعات کافی در مورد وضعیت اندامها ارائه دهد و نیازی به سی تی اسکن نباشد. در صورتی که سونوگرافی نتواند تصویر روشنی از ناحیه مورد نظر بدهد،MRI (تصویربرداری تشدید مغناطیسی) گزینهای ایمنتر محسوب میشود.
در مرکز تصویربرداری تابا، پزشکان رادیولوژیست پس از بررسی وضعیت بیمار، مناسبترین روش را پیشنهاد میدهند؛ تا درنتیجه بدون خطر برای جنین، بهترین تشخیص حاصل شود.
آیا سی تی اسکن شکم میتواند باعث سقط یا ناهنجاری شود؟
مطالعات پزشکی نشان دادهاند که دوز اشعه در سی تی اسکن شکم بسیار پایینتر از حدی است که بتواند باعث سقط جنین شود. بهویژه اگر از تکنولوژیهای جدید و دستگاههای کمدوز مانند آنچه در مرکز تابا استفاده میشود، بهره گرفته شود؛ میزان تابش در حد کاملاً ایمن قرار میگیرد.
نقش مرکز تصویربرداری تابا در کاهش خطرات احتمالی
در مرکز تصویربرداری تابا، ایمنی بیمار در اولویت است. تمامی مراحل تصویربرداری با نظارت متخصصان انجام میشود؛ همچنین در صورت نیاز به سی تی اسکن در دوران بارداری، تنظیمات دستگاهها بهگونهای است که حداقل اشعه ممکن به بدن برسد. همچنین، مشاوره دقیق قبل از انجام اسکن به بیماران ارائه میشود تا از تمام جوانب آگاه شوند.
بهطور کلی، سی تی اسکن شکم در بارداری تنها زمانی انجام میشود که مزایای آن بیشتر از خطرات احتمالی باشد. اگر انجام آن ضروری باشد، معمولاً از سی تی اسکن شکم و لگن بدون تزریق با اشعه کم استفاده میشود.
در چنین مواردی، مراجعه به مرکز معتبر و مجهز مانند مرکز تصویربرداری تابا میتواند اطمینان خاطر بیشتری برای مادر و پزشک فراهم کند؛ زیرا تمام اصول ایمنی در آن بهدقت رعایت میشود.
بنابراین، اگر پزشک شما این نوع تصویربرداری را ضروری دانست، نگران نباشید؛ با رعایت نکات ایمنی و انتخاب مرکز تخصصی، خطر آن بسیار ناچیز خواهد بود.